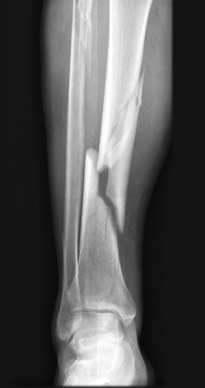
سيتم عقد السيمنار الاسبوعى يوم الاربعاء المقبل الموافق 17 اكتوبر الساعة 11 ظ بقاعة السمنار بالقسم ويتم عرض موضوع
Comminuted tibial fractures
ويتم عمل السيمنار اسبوعيا بحضور جميع اعضاء هيئة التدريس ومعاونيهم والاطباء المقيمين بالقسم
سيتم عقد السيمنار الاسبوعى يوم الاربعاء المقبل الموافق 17 اكتوبر الساعة 11 ظ بقاعة السمنار بالقسم ويتم عرض موضوع
Comminuted tibial fractures
ويتم عمل السيمنار اسبوعيا بحضور جميع اعضاء هيئة التدريس ومعاونيهم والاطباء المقيمين بالقسم