علاء أحمد غالب
مدرس - مدرس
كلية الطب
العنوان: سوهاج..كورنيش النيل الشرقي..عمارة17
4
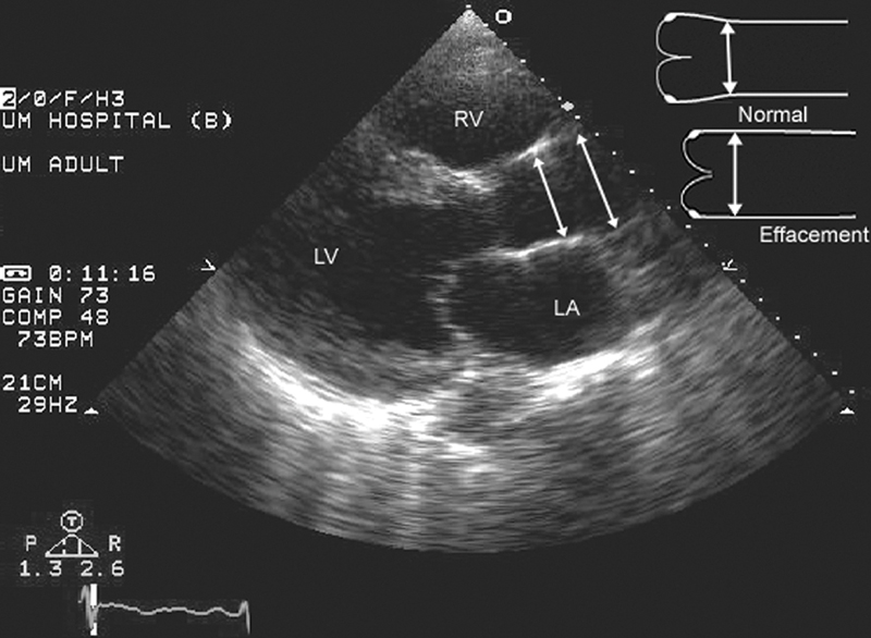
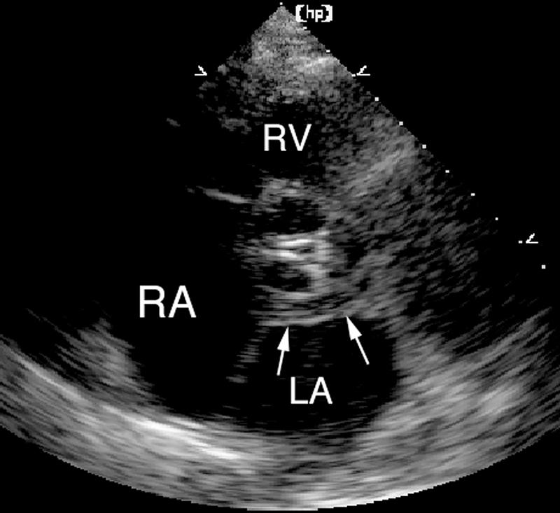
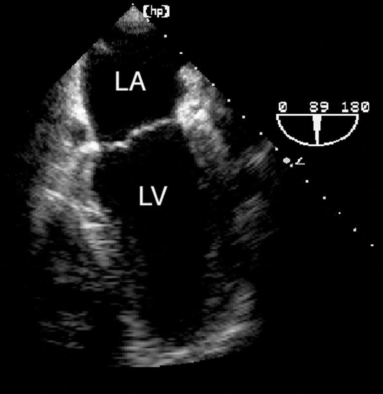
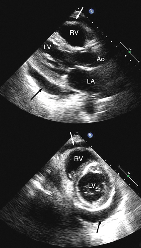
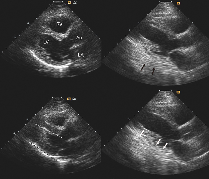
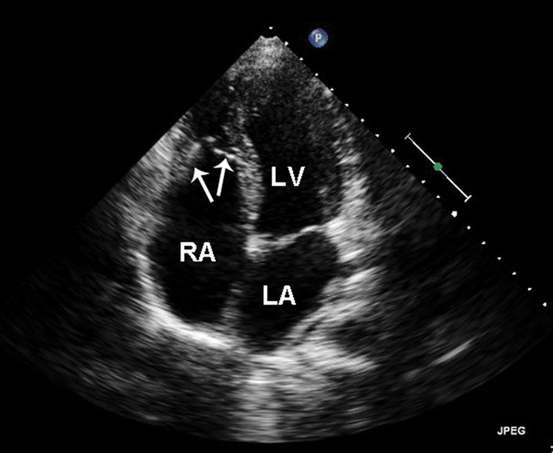
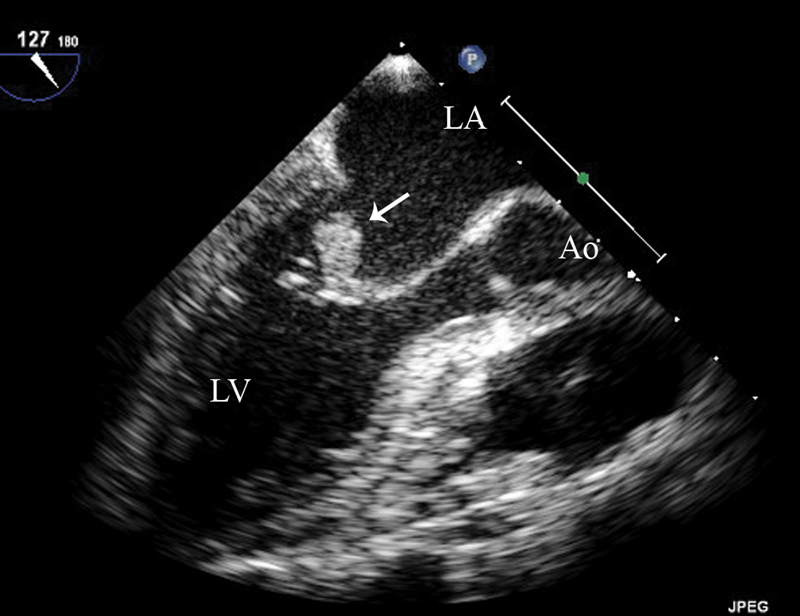
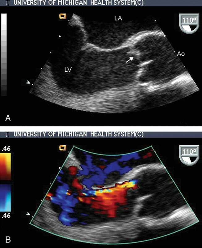
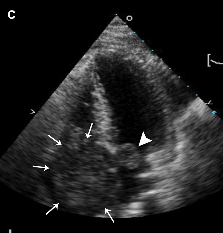
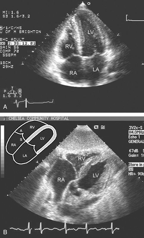
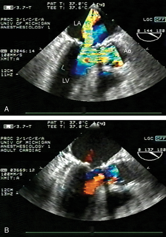
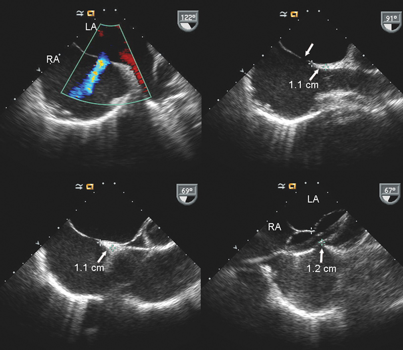
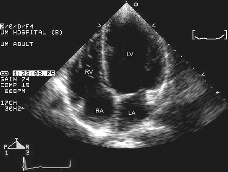
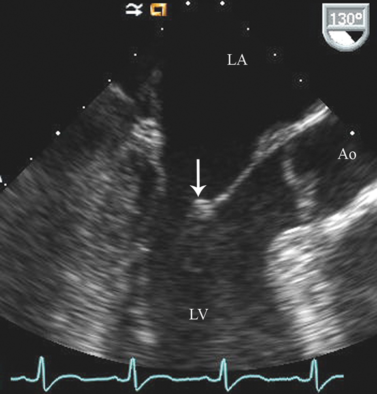
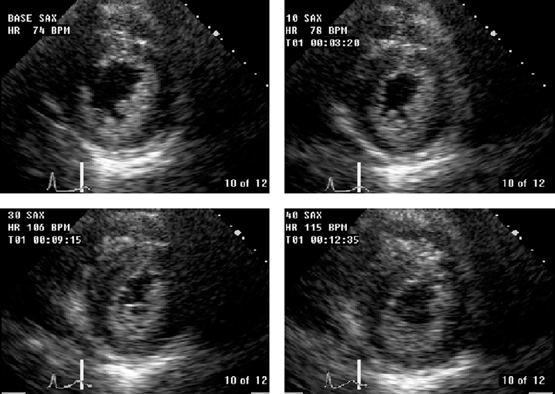
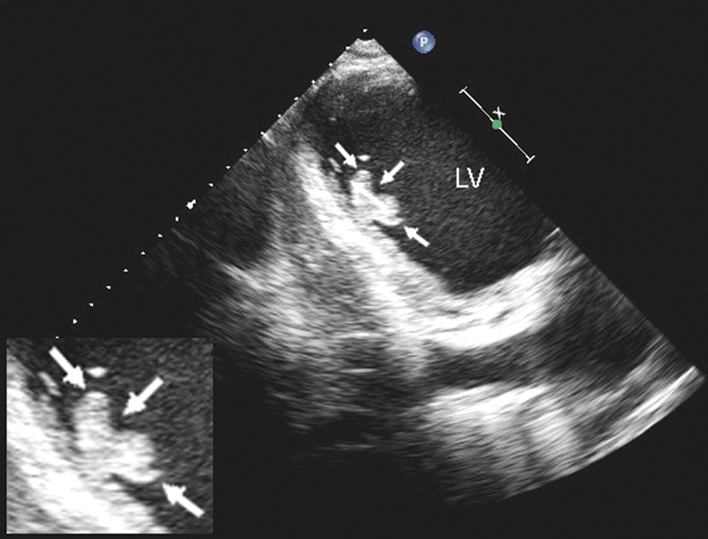
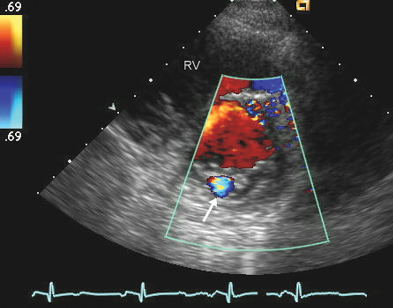
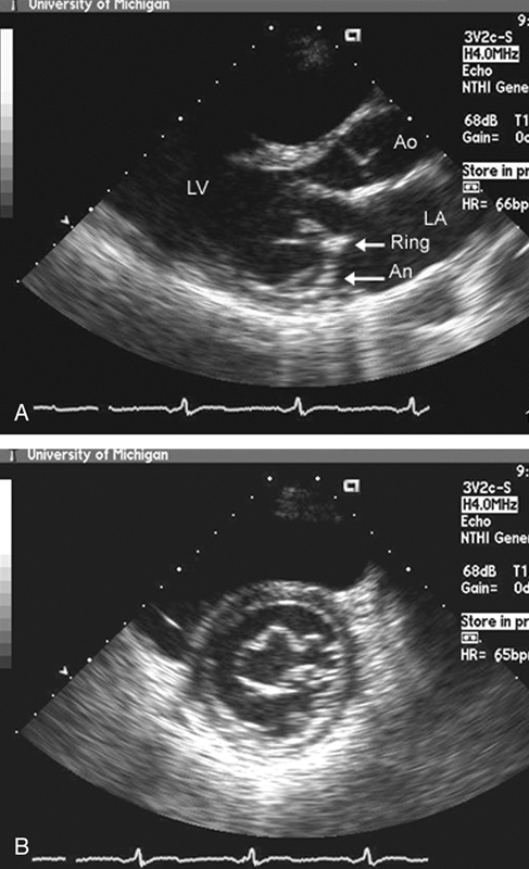
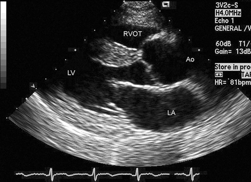
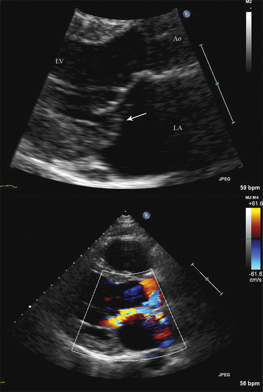
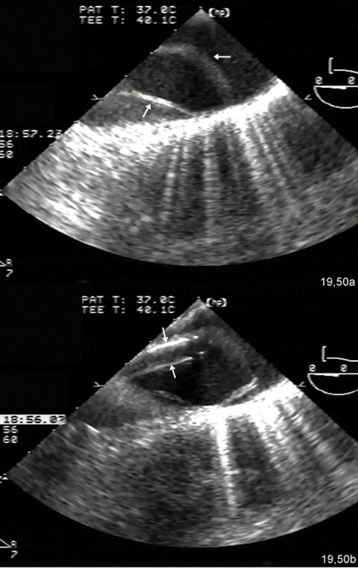
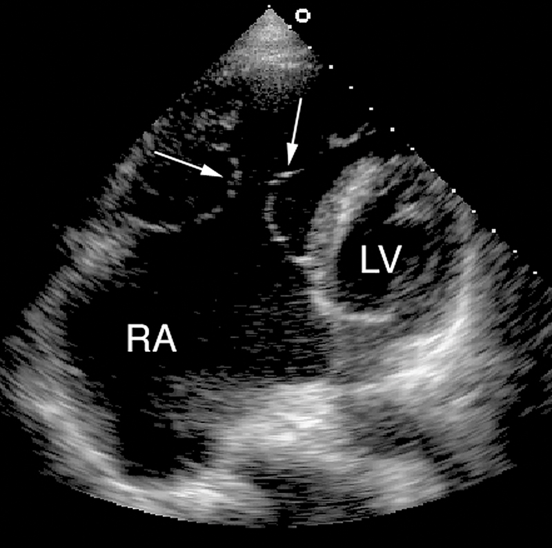
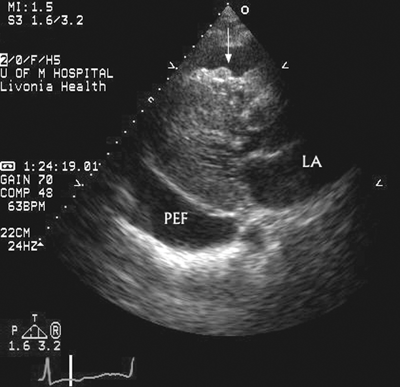
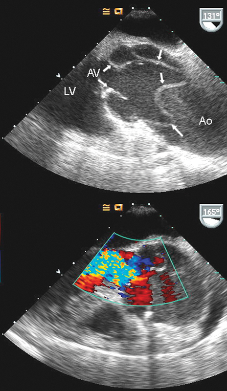
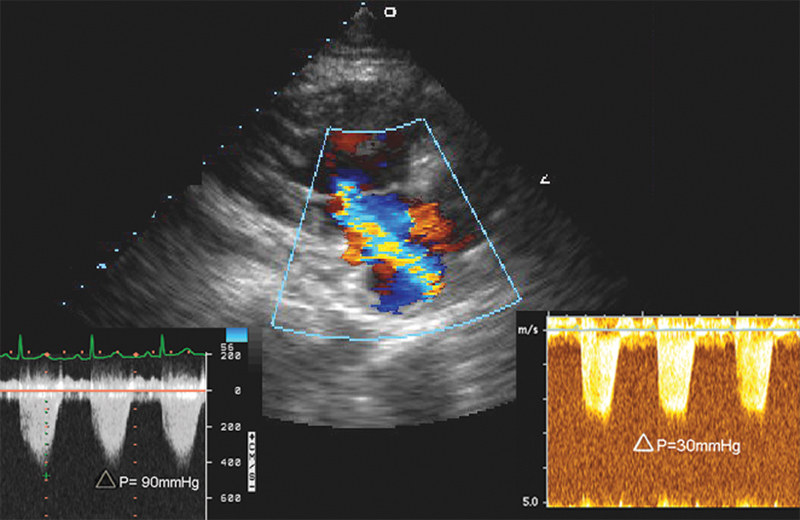
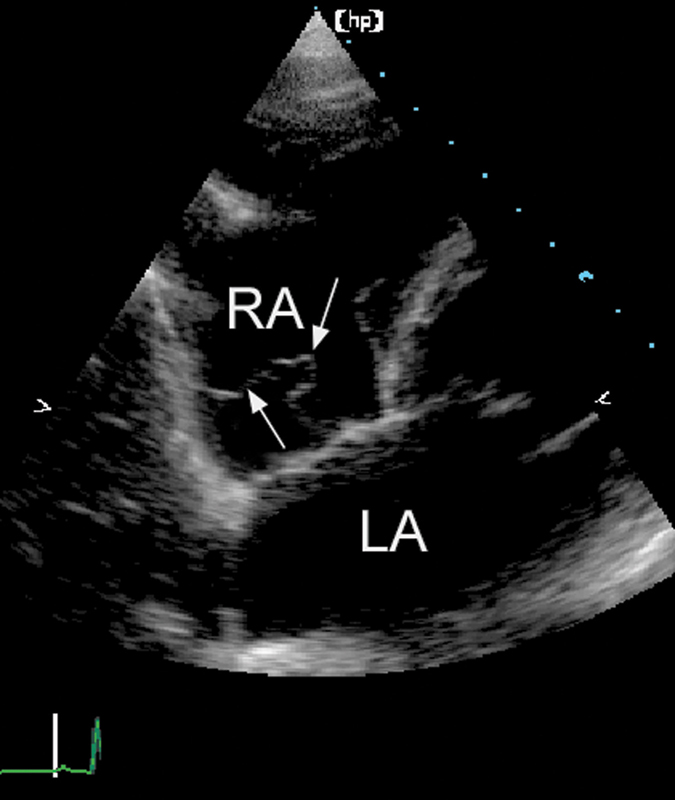
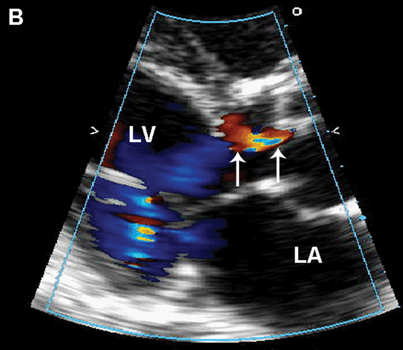
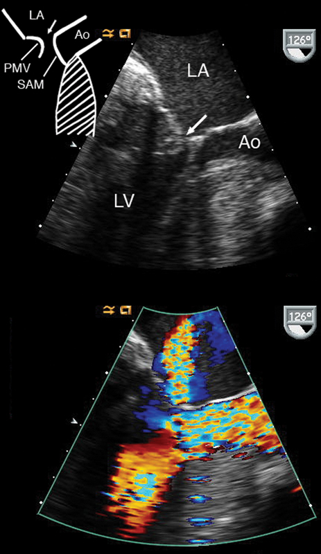
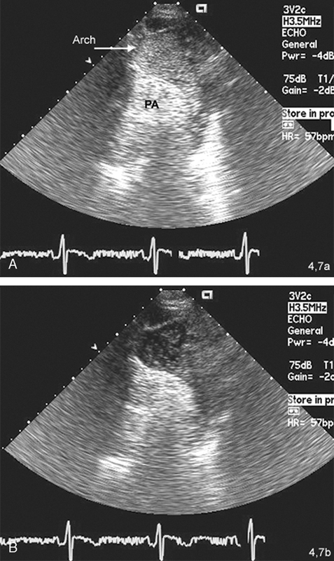
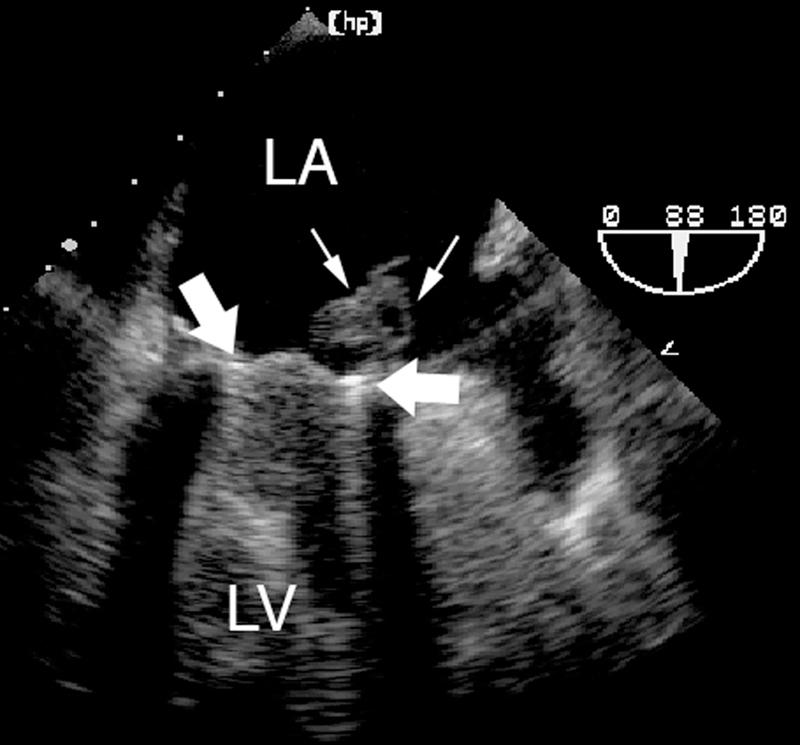
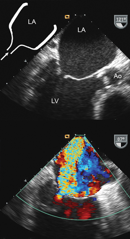
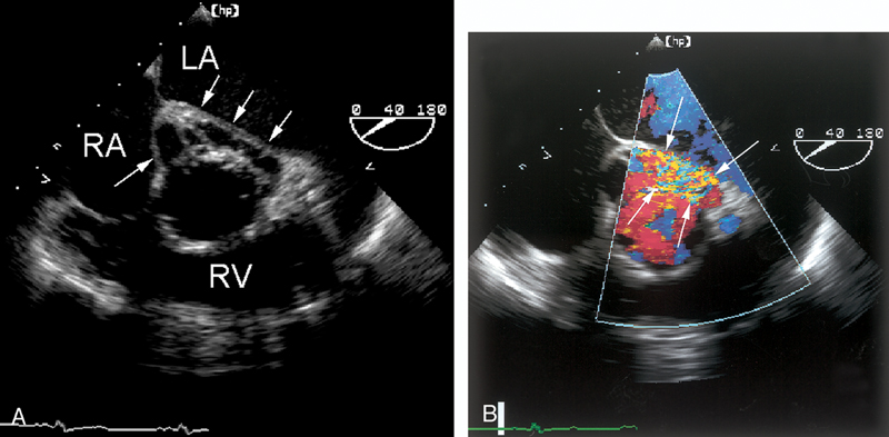
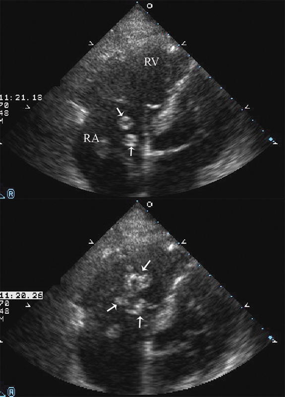
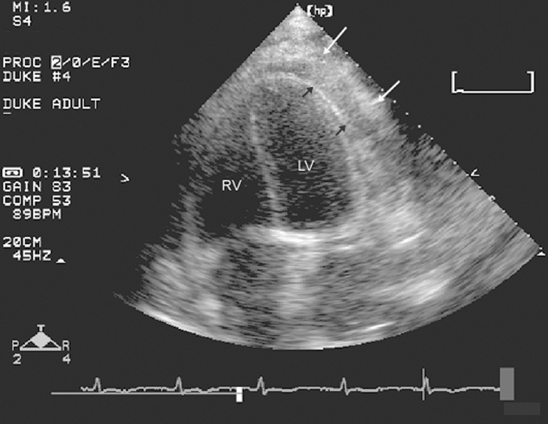
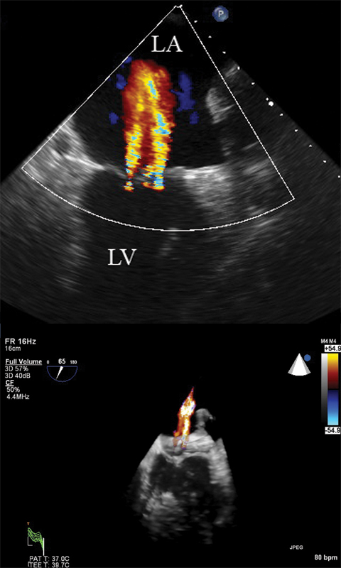
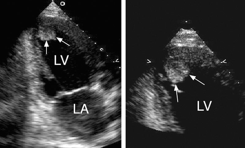
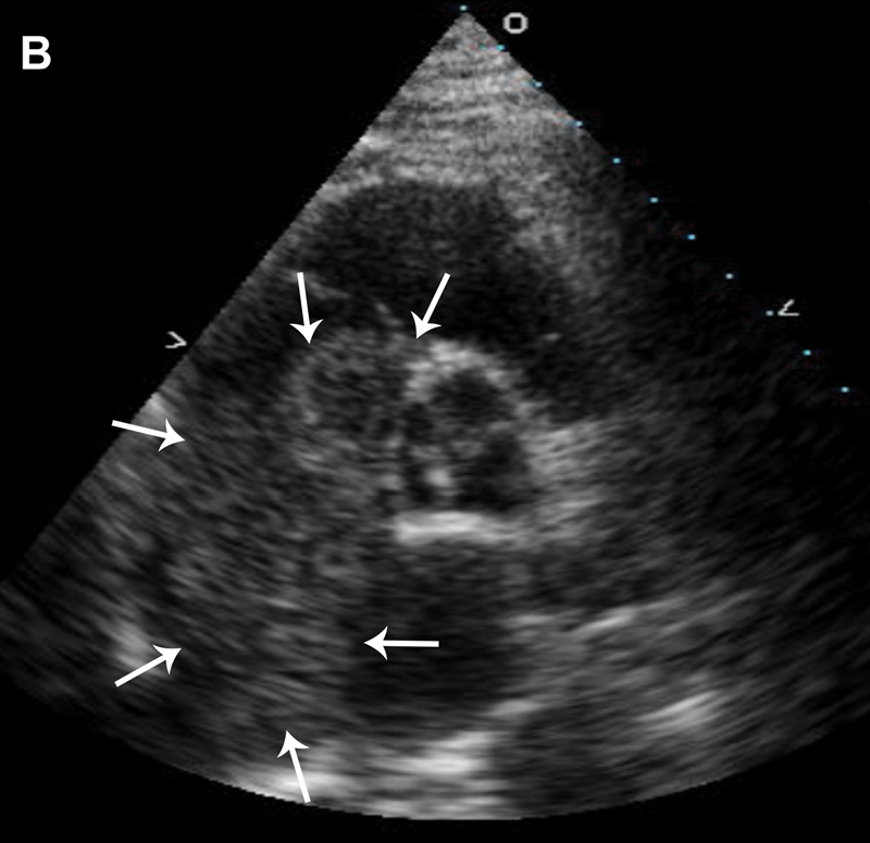
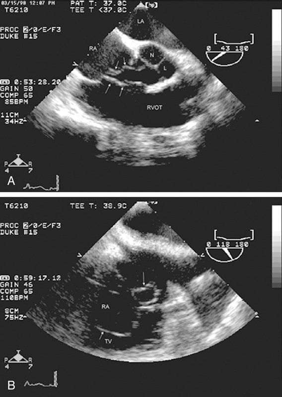
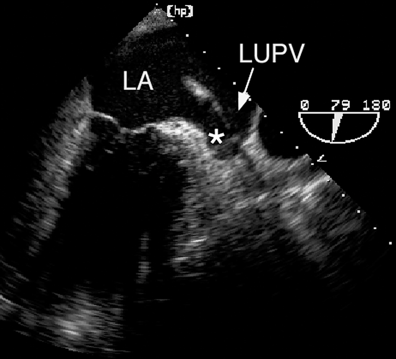
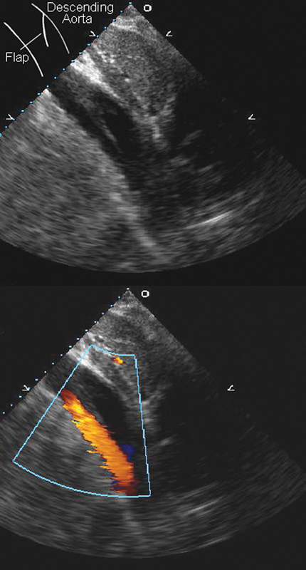
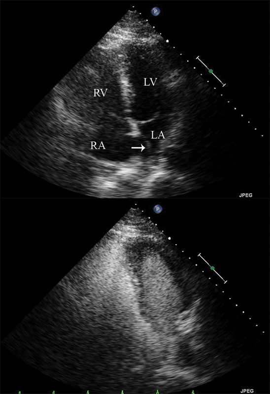
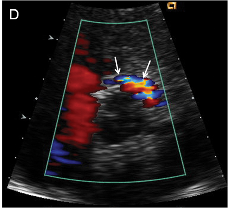
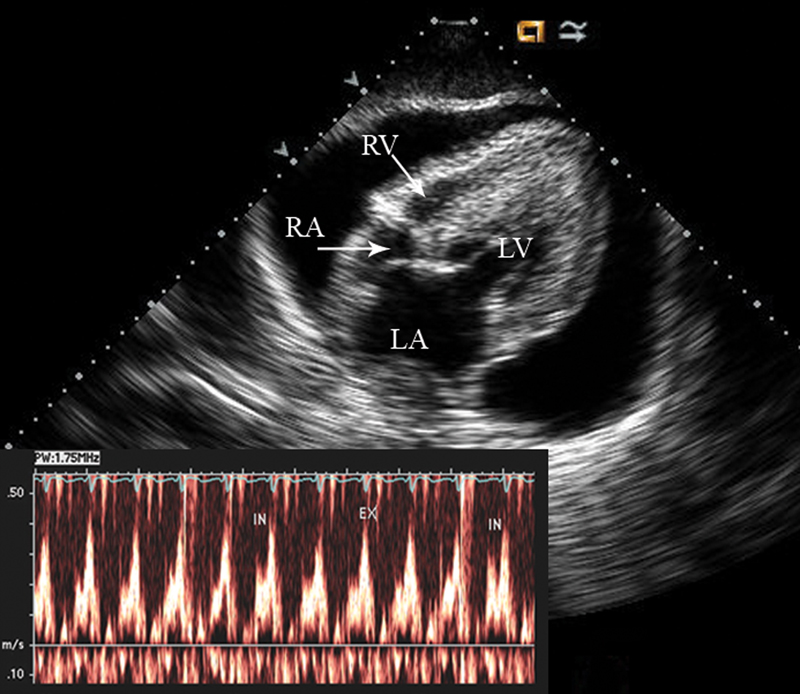
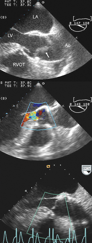
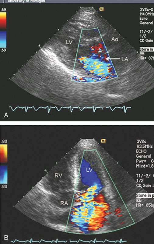
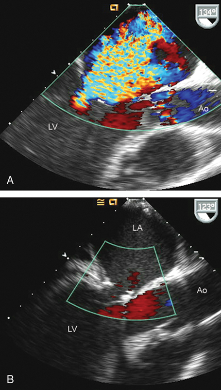
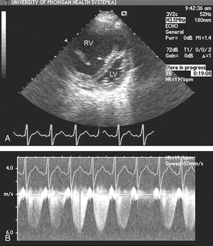
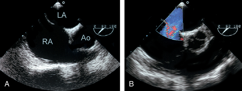
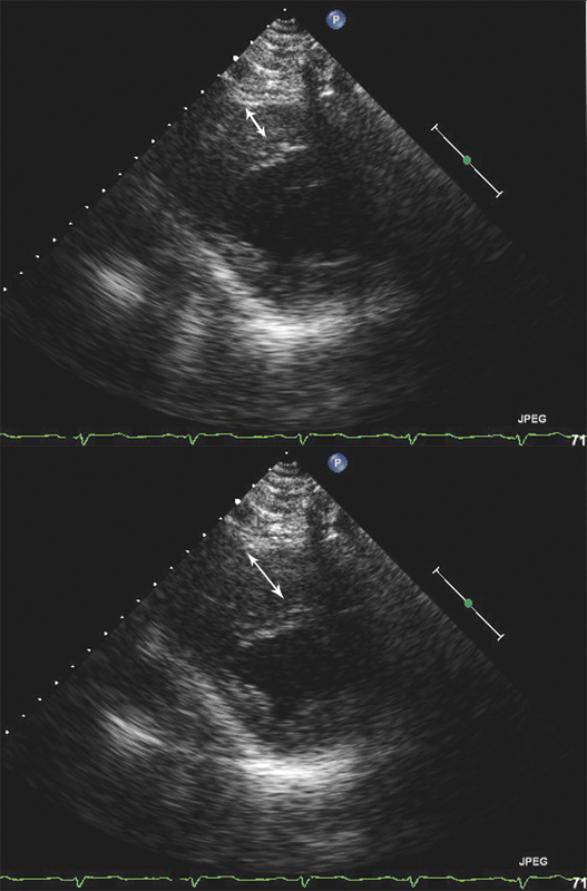
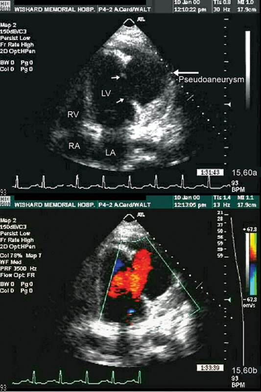
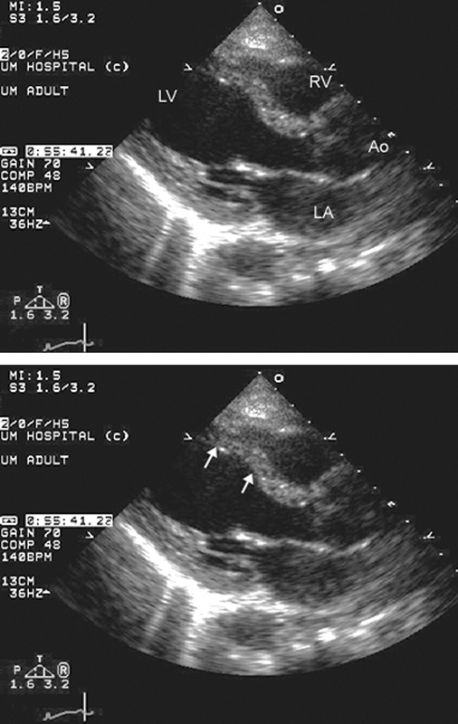
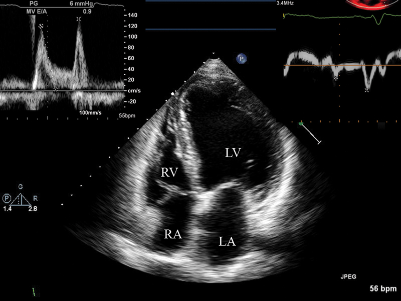
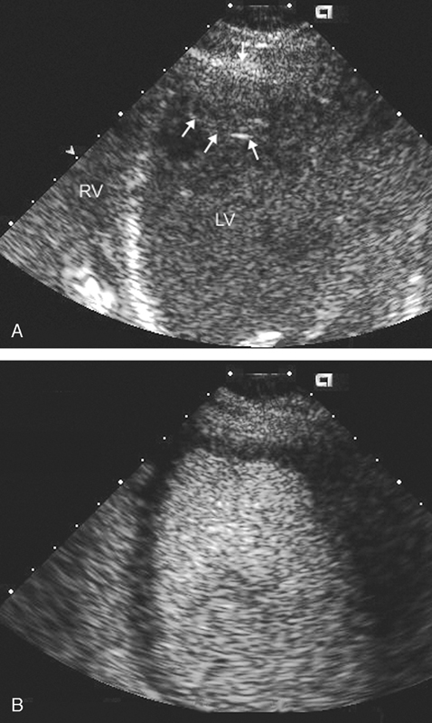
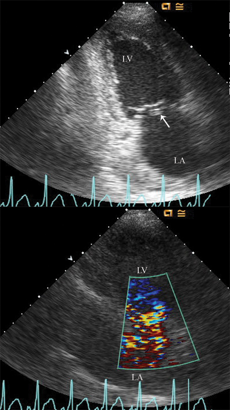
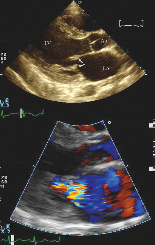
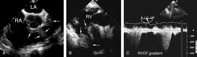
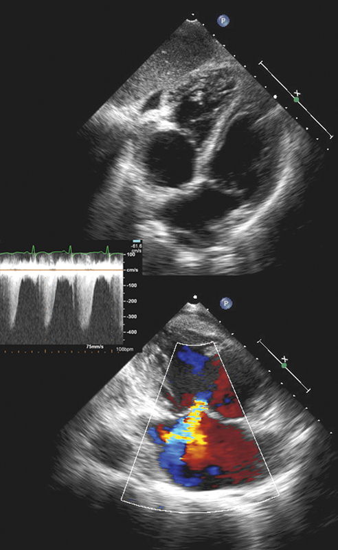
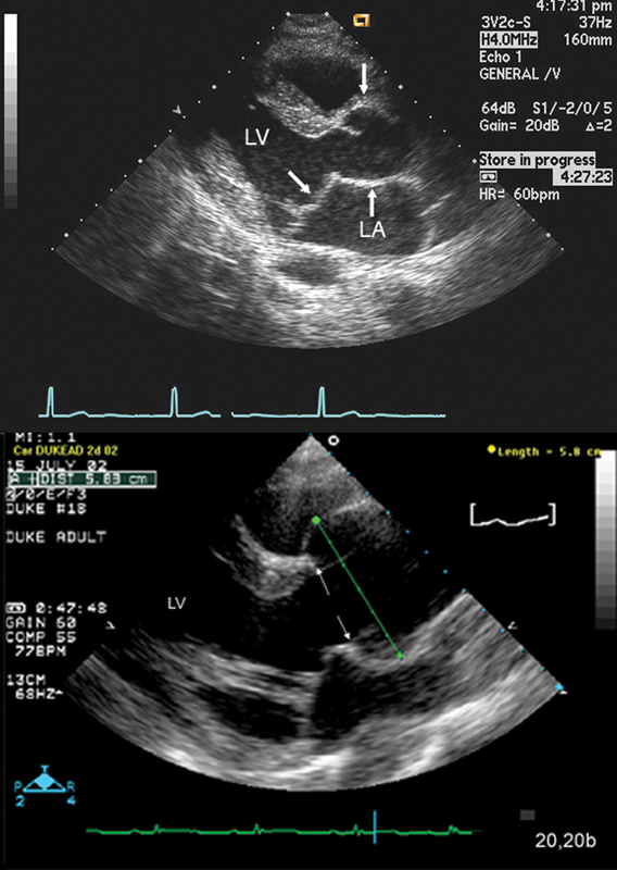
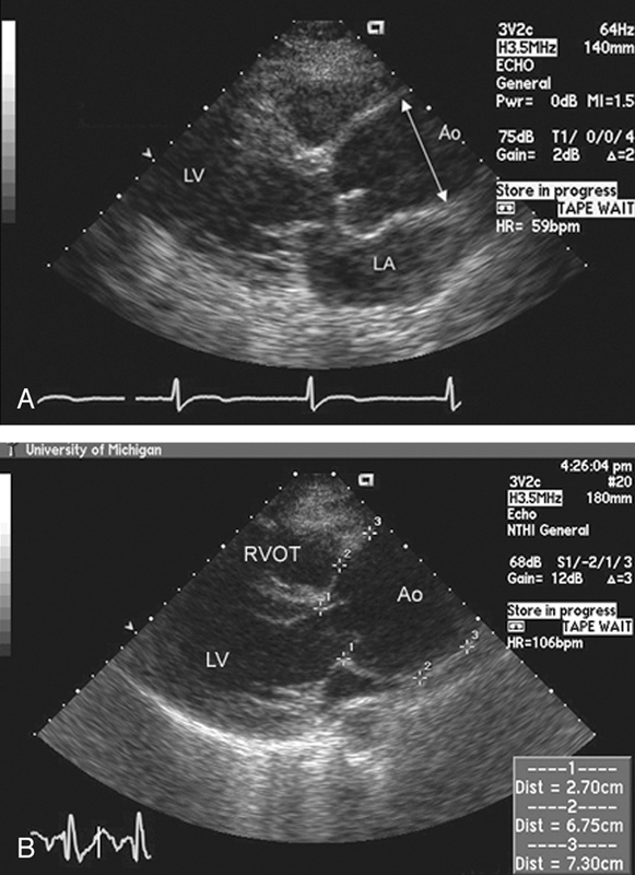
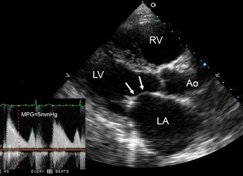
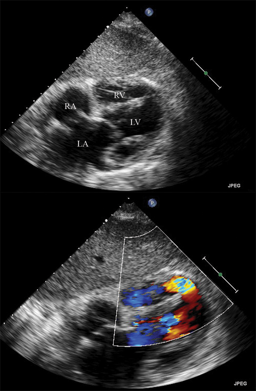
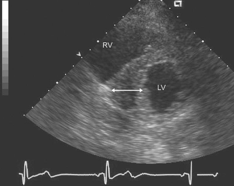
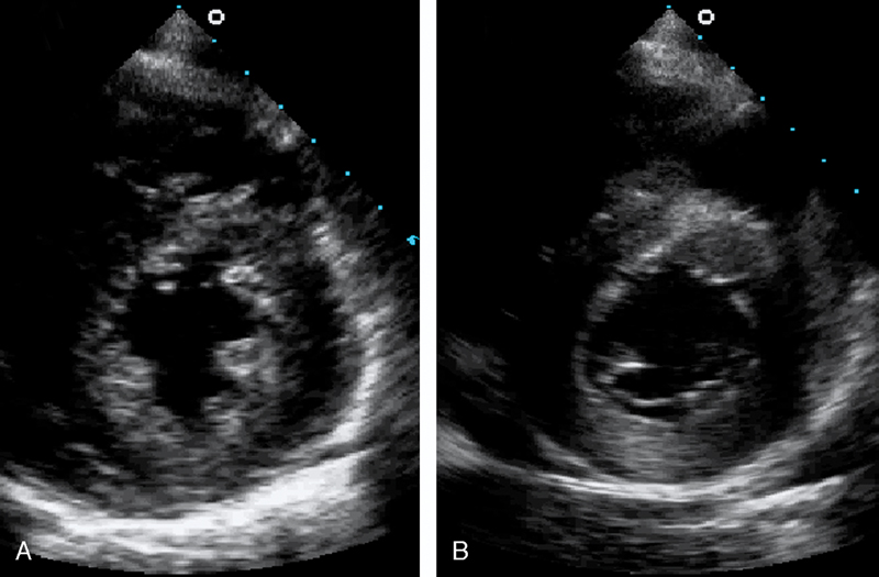
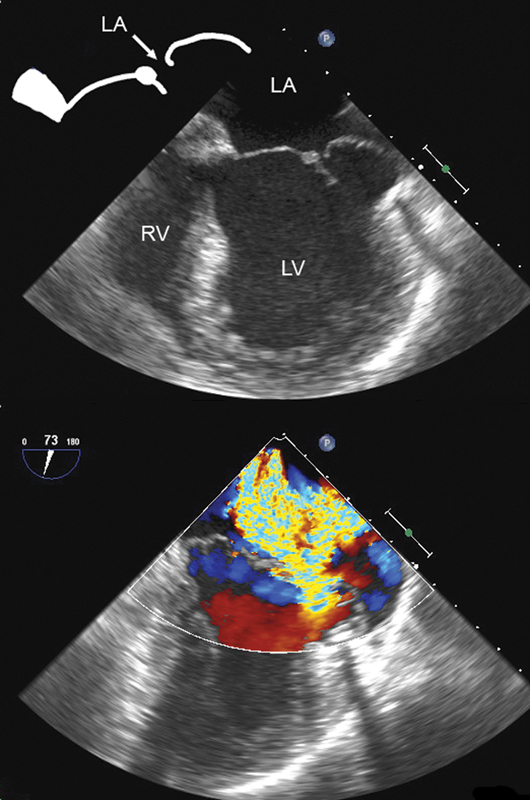
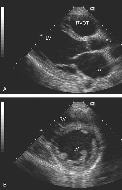
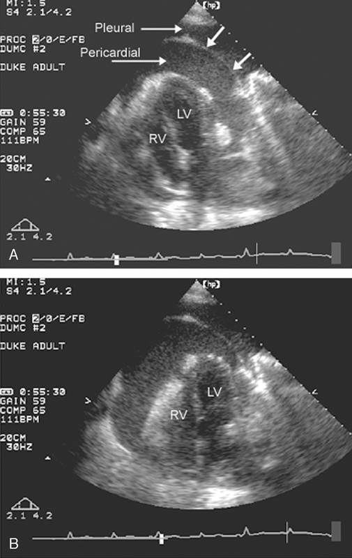
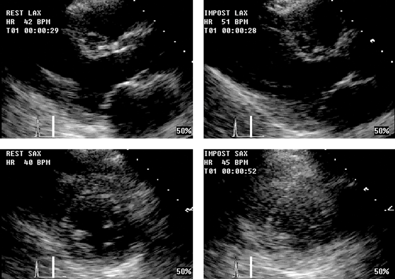
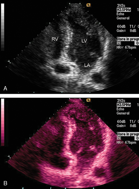
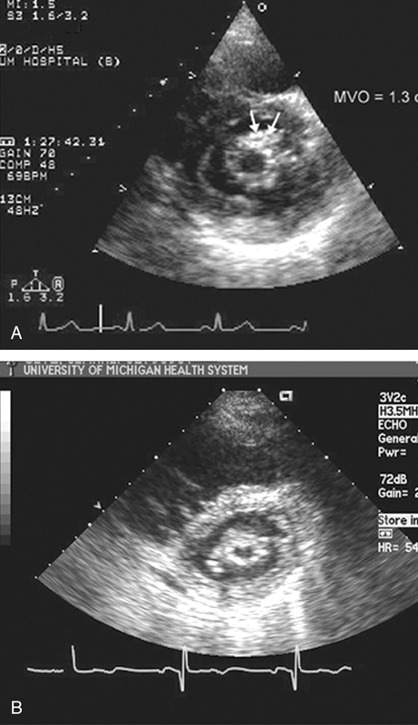
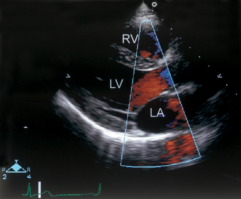
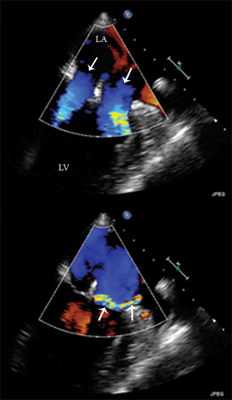
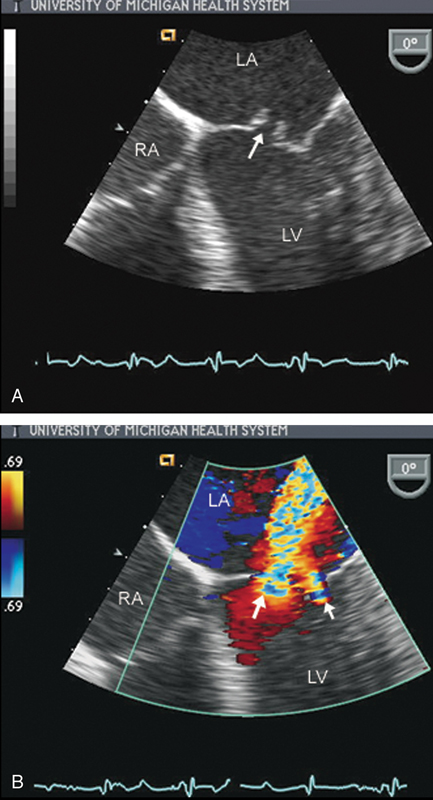
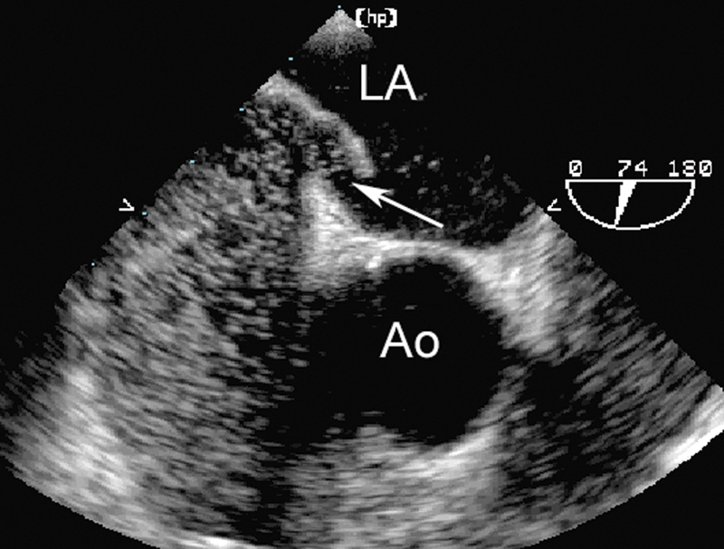
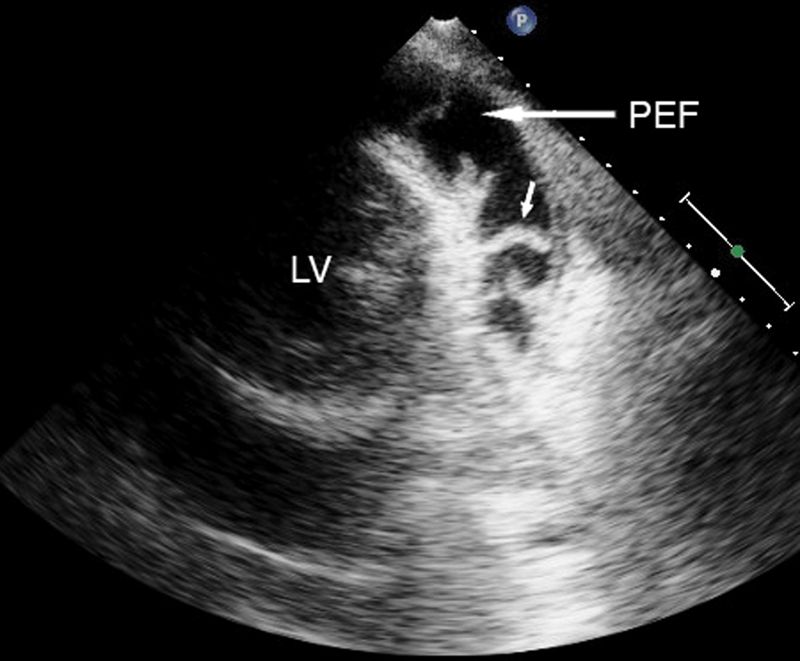
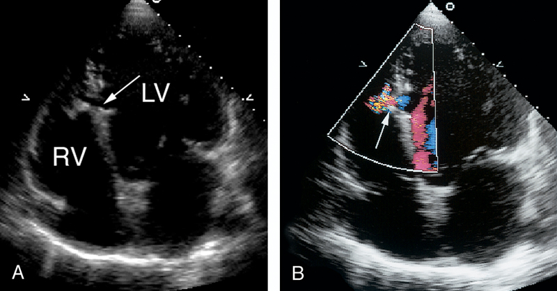
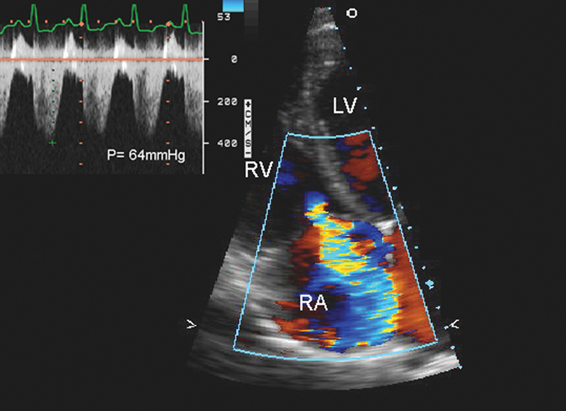
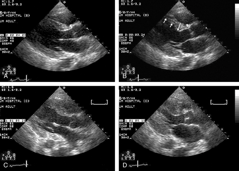
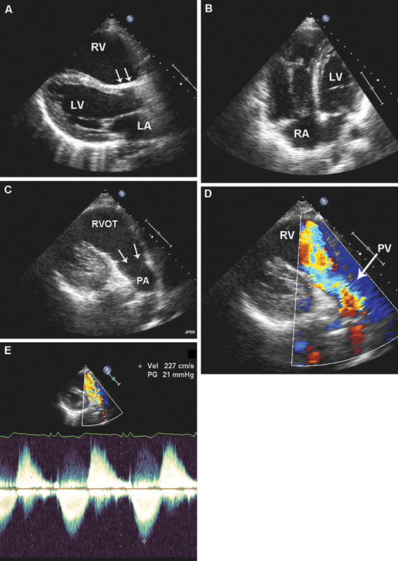
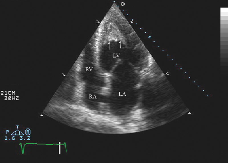
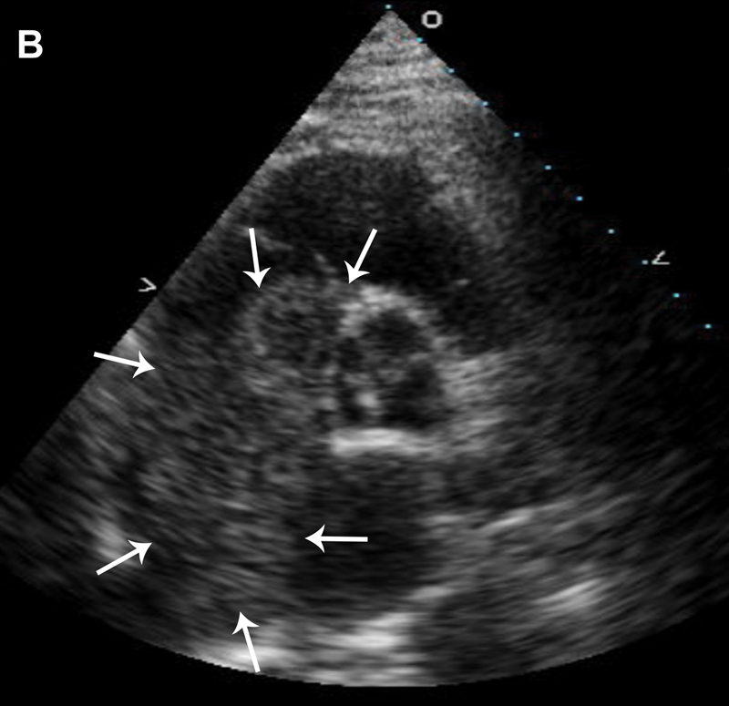
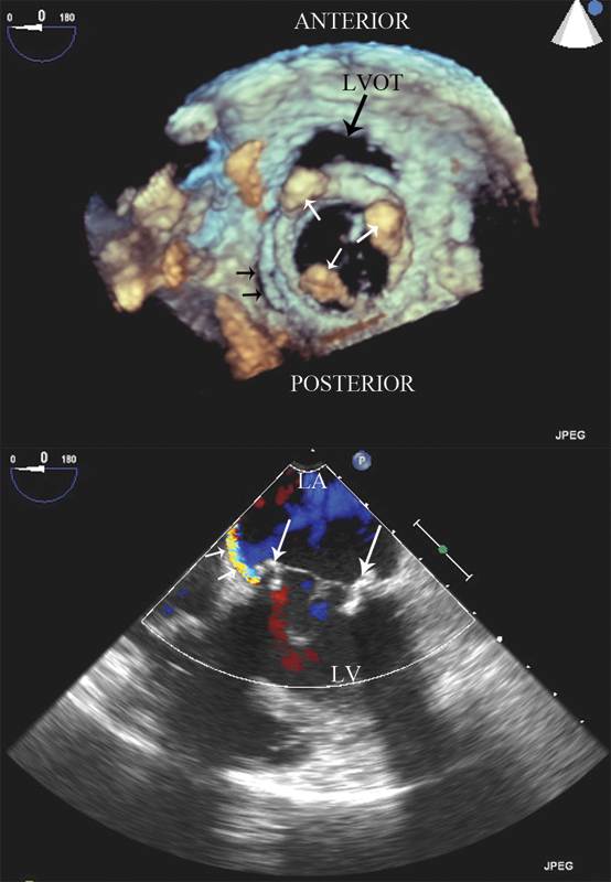
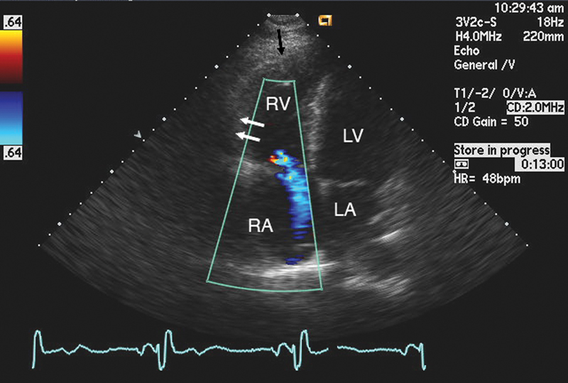
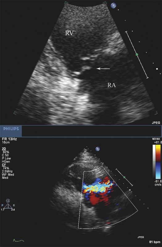
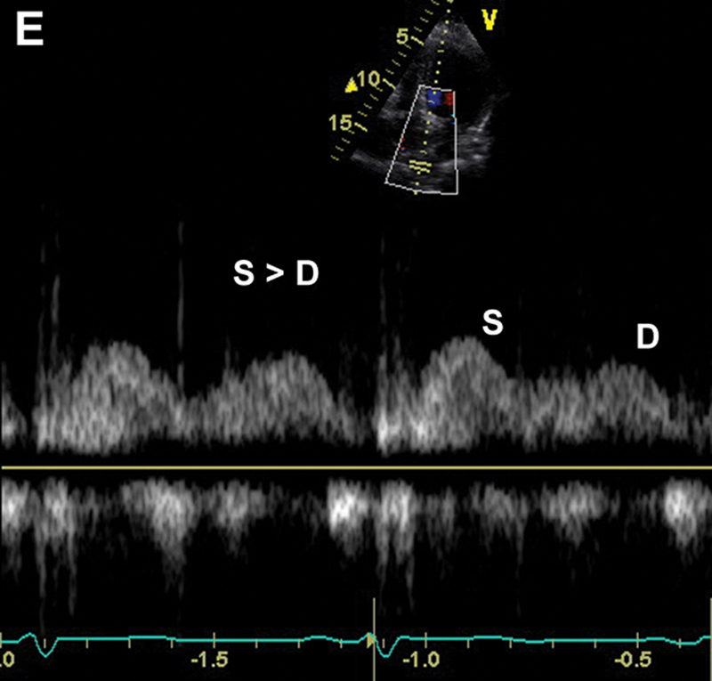
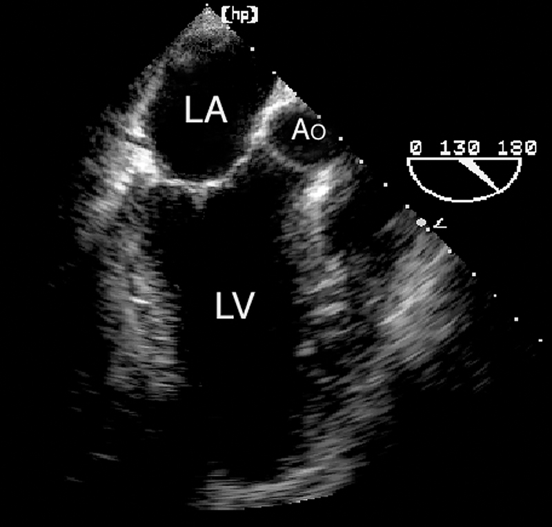
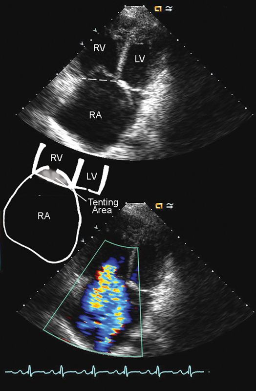
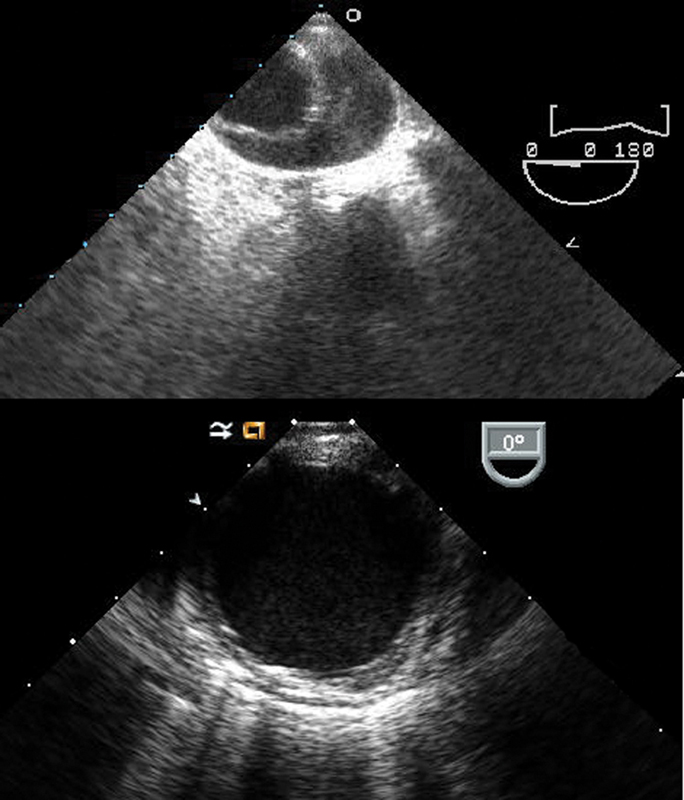
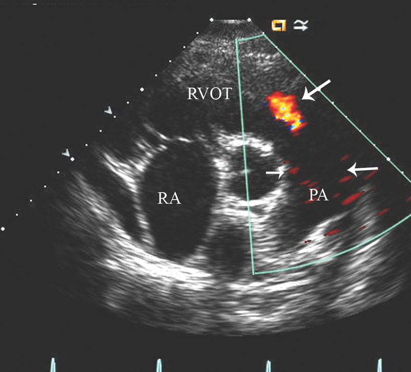
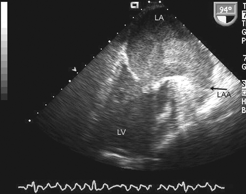
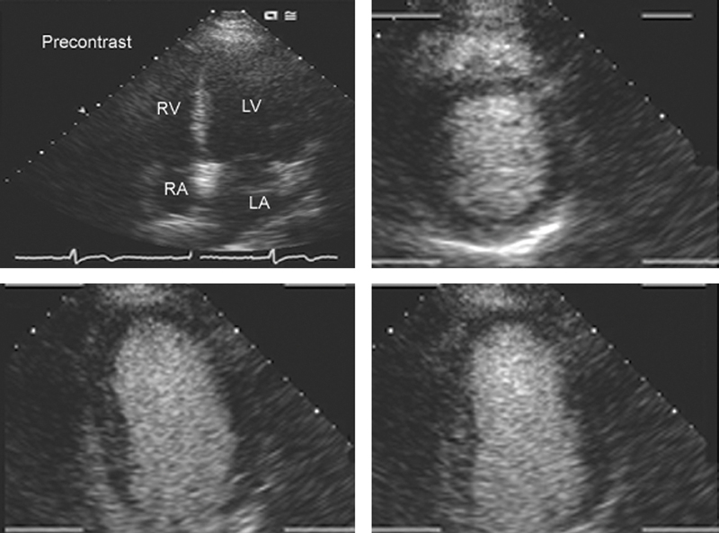
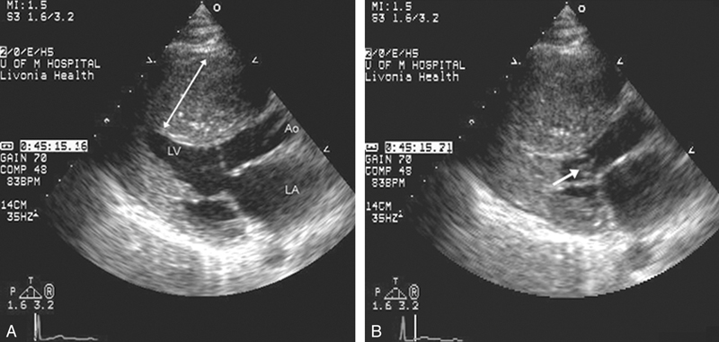
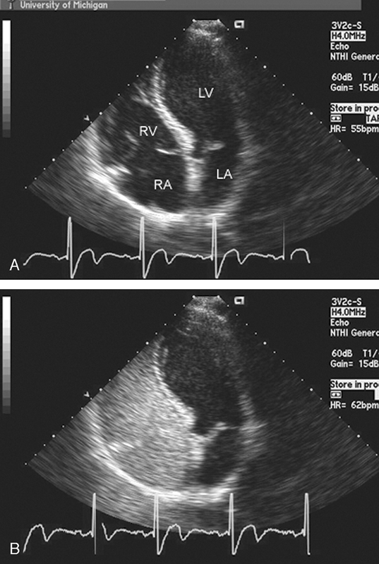
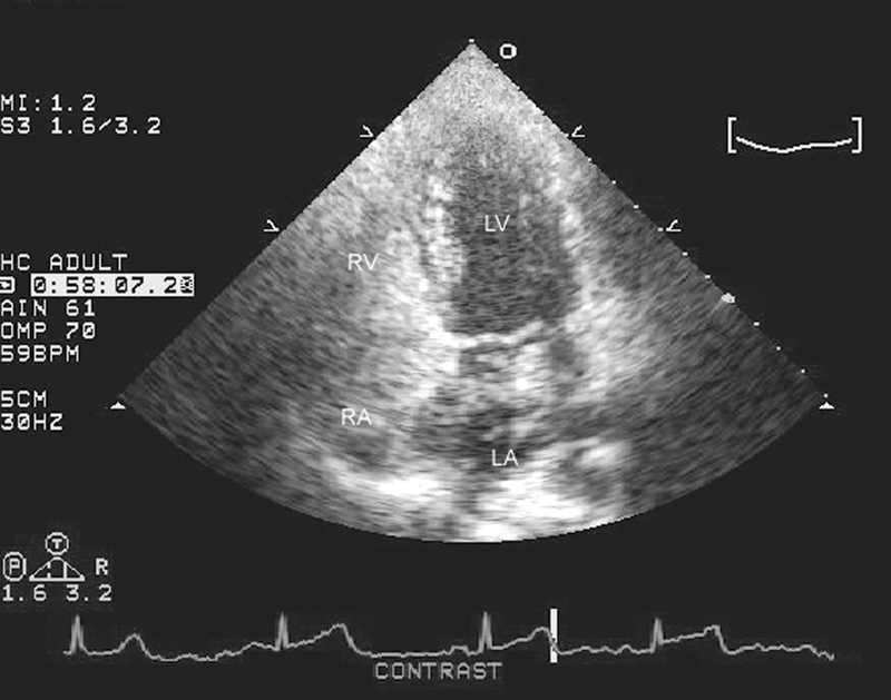
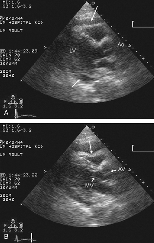
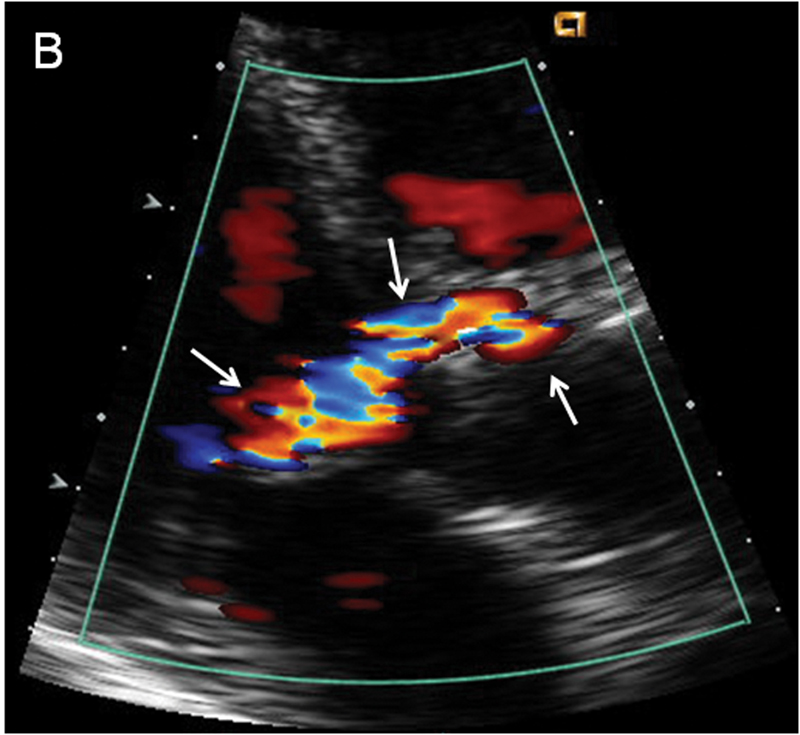
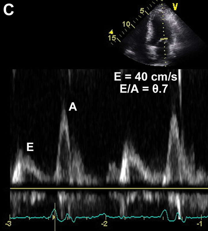
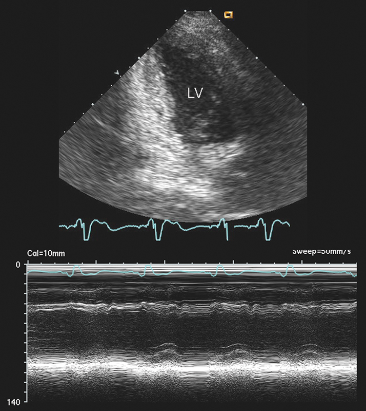
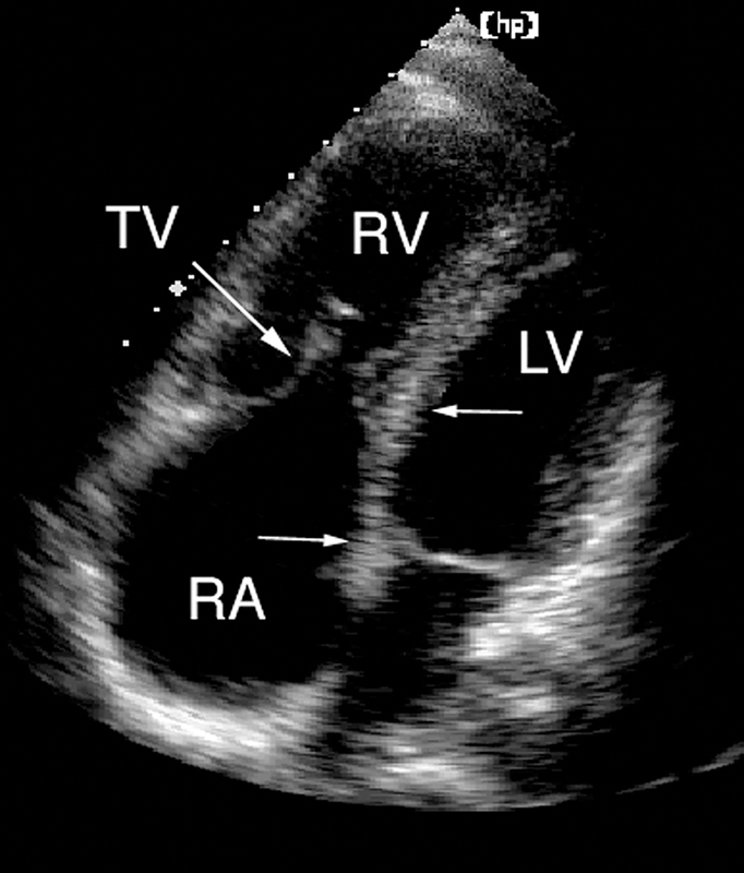
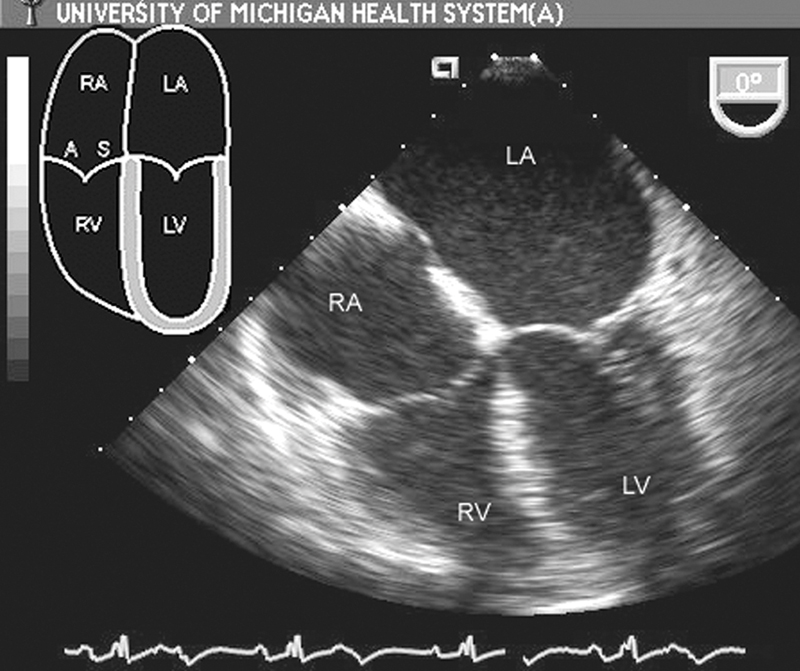
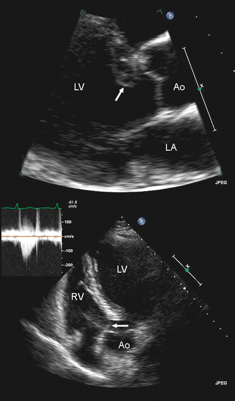
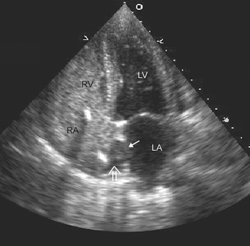
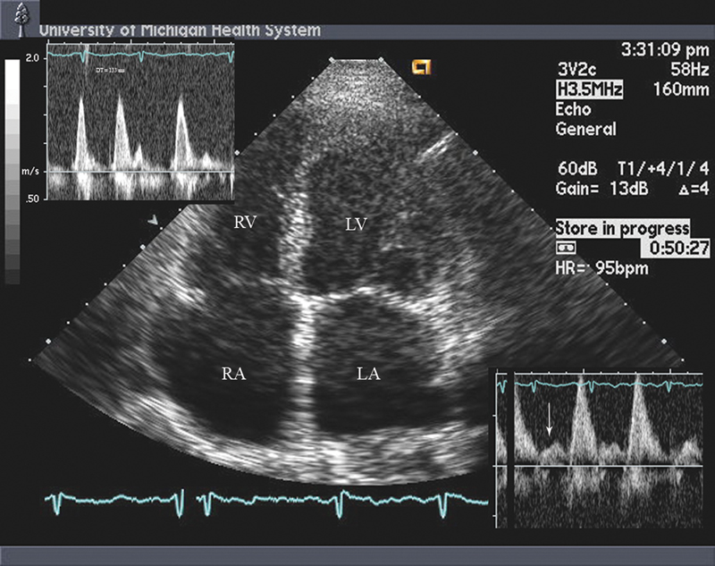
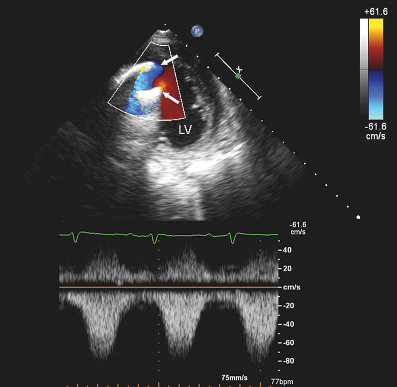
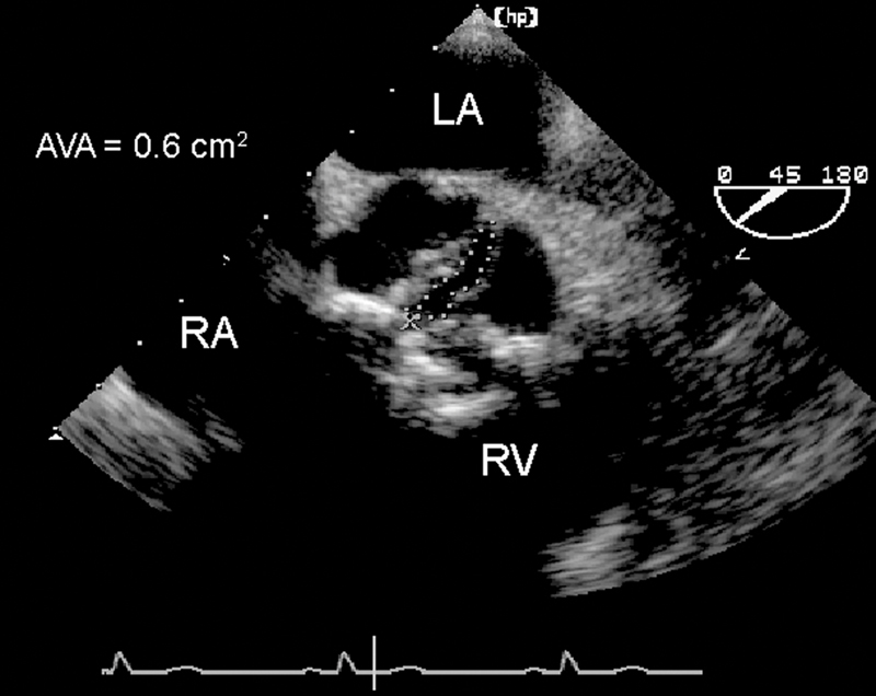
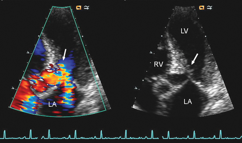
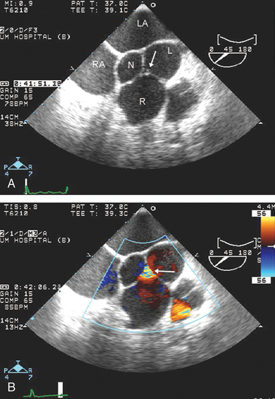
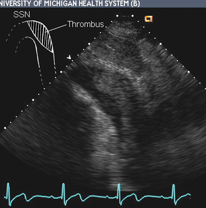
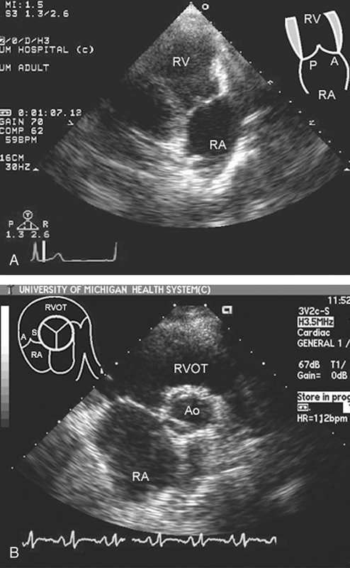
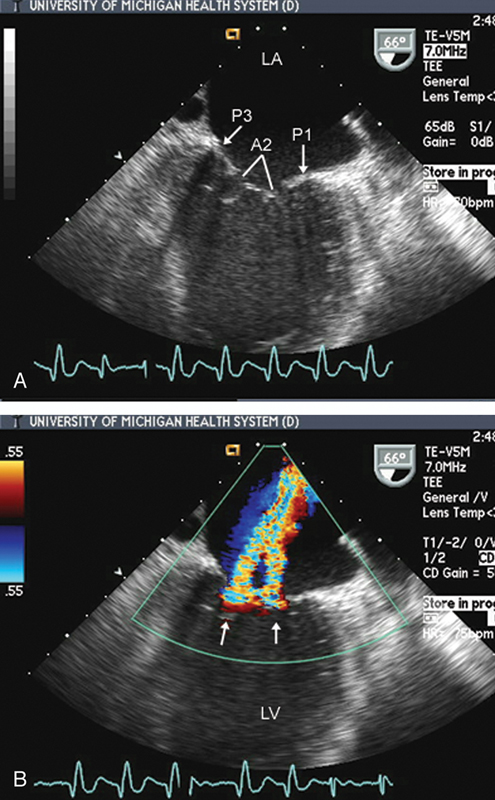
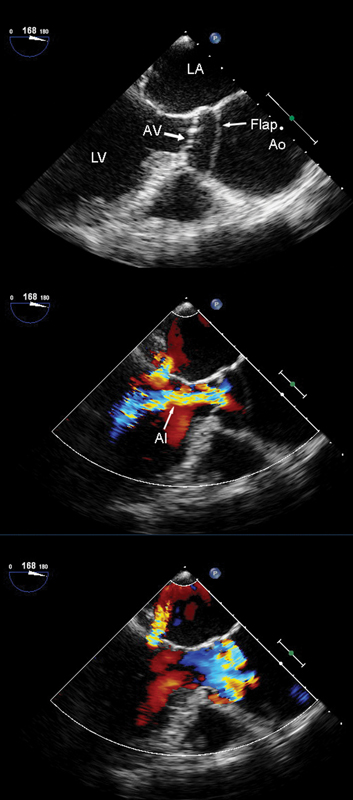
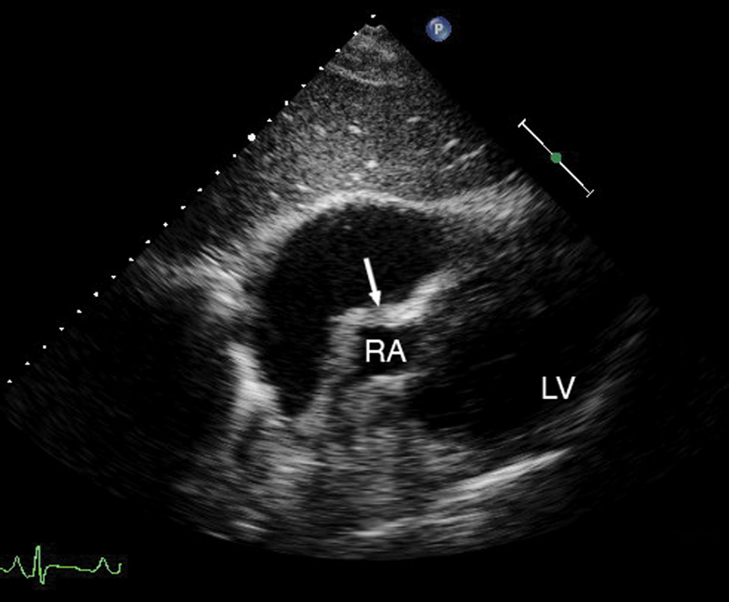
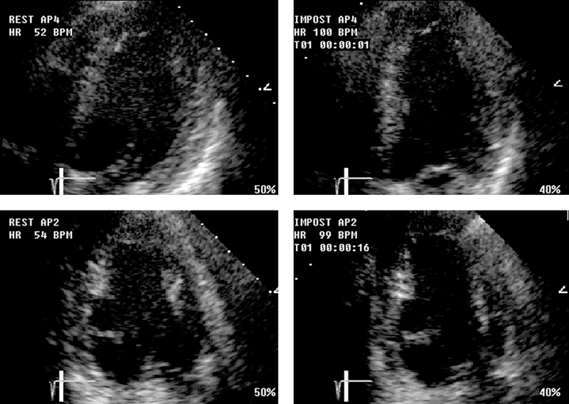
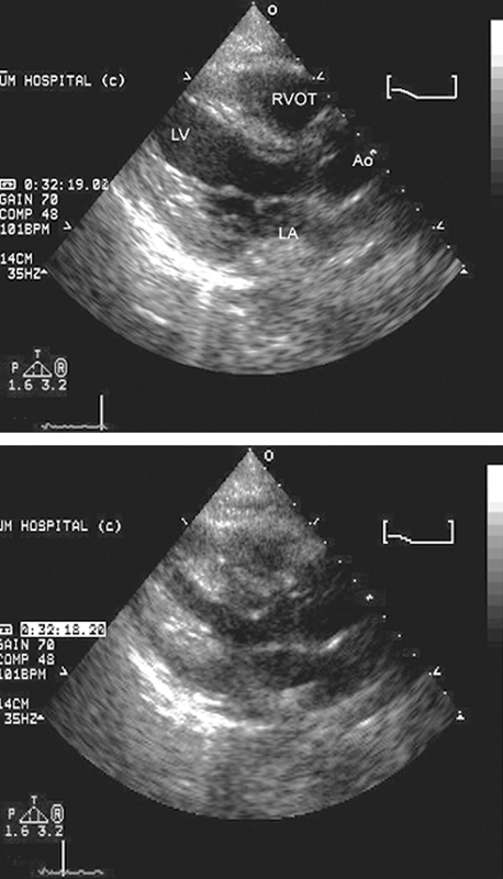
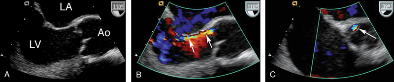
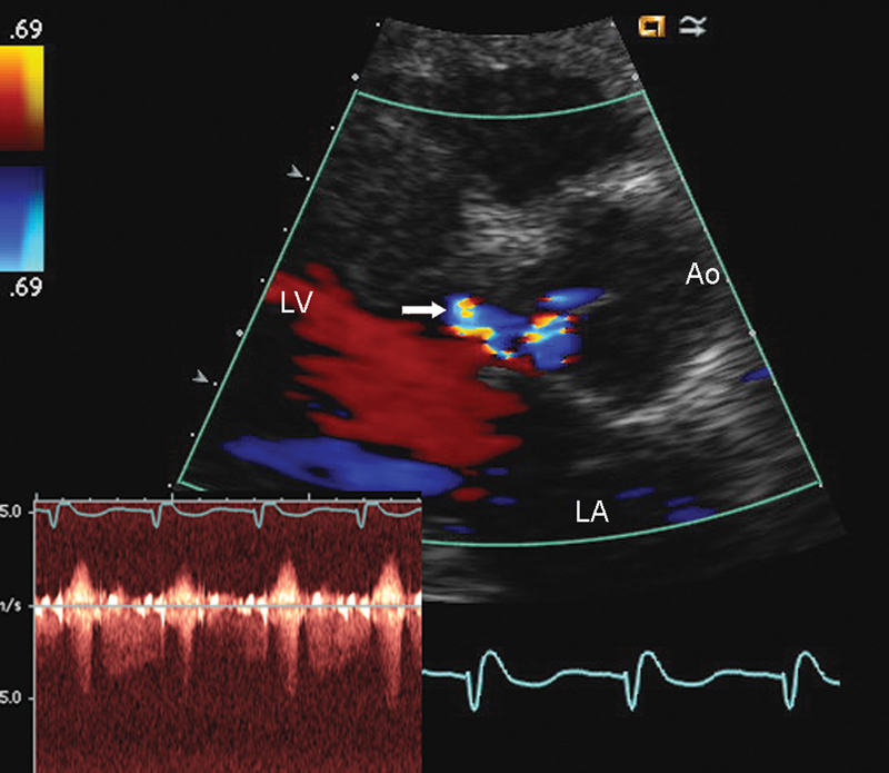
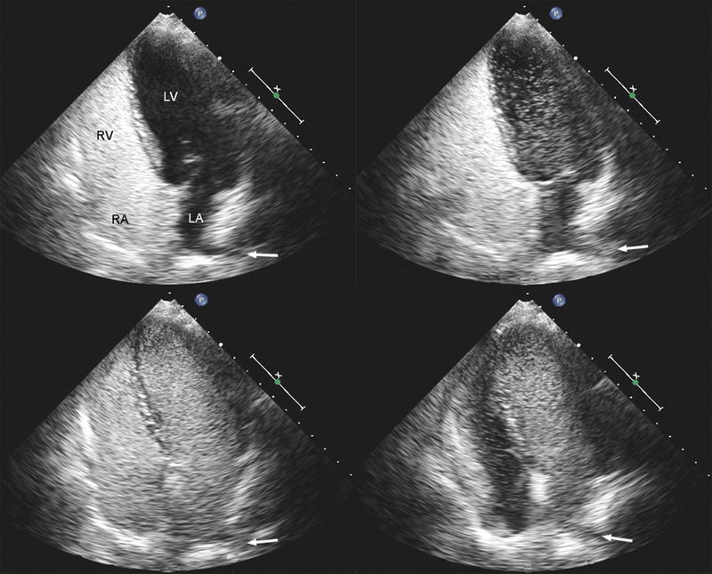
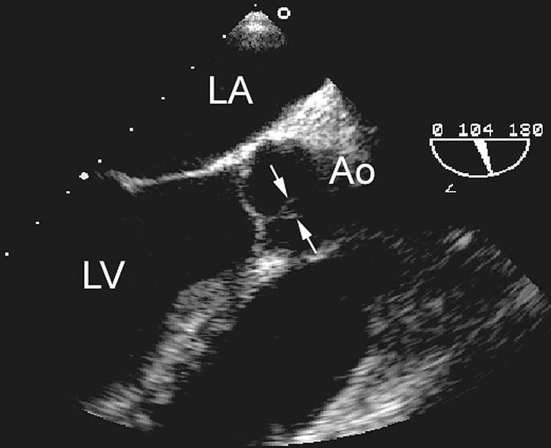
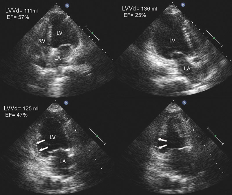
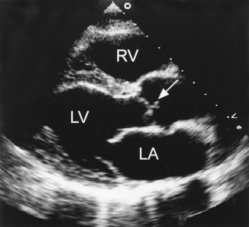
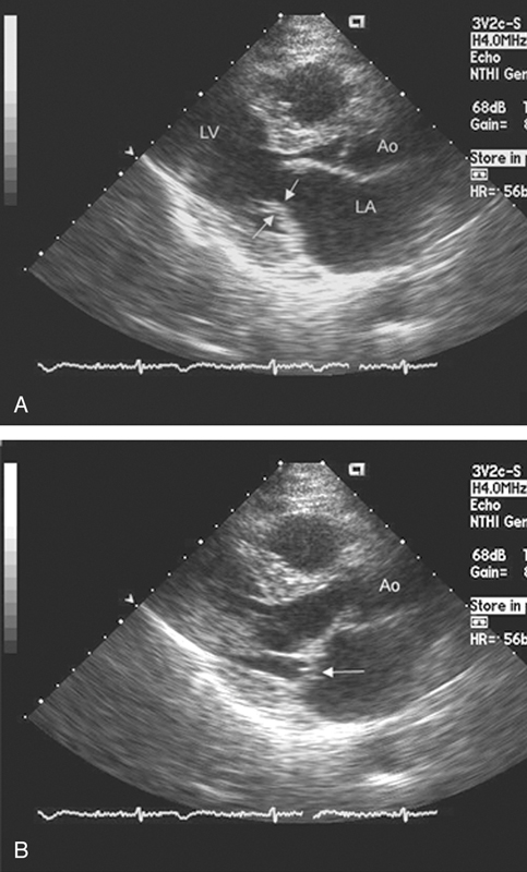
فحوصات تشخيصية لبعض امراض القلب والشرايين التاجية