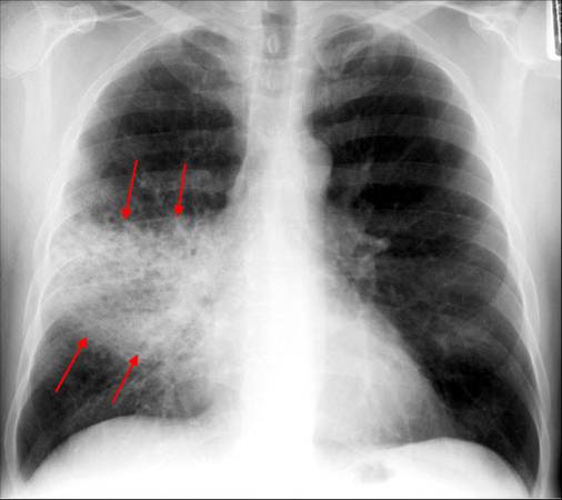
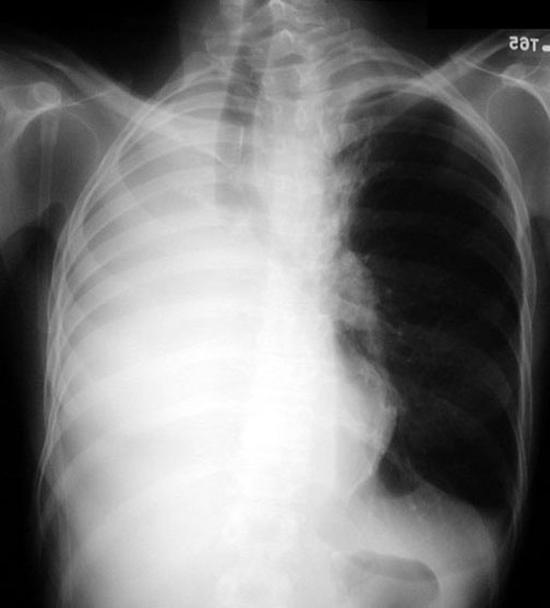
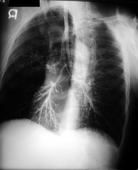
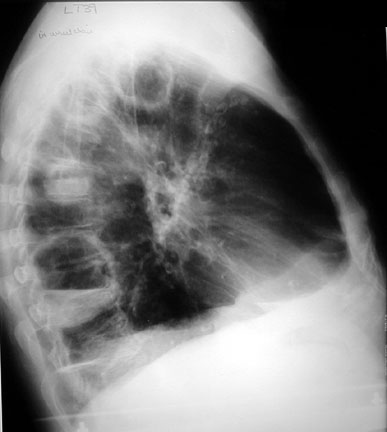
weekly clinical round for undergraduate from 8 to 11 AM during which interpretation of CHEST X rays was done for all cases of cardiothoracic surgery, gived by 2 staf member for 3 months
weekly clinical round for undergraduate from 8 to 11 AM during which interpretation of CHEST X rays was done for all cases of cardiothoracic surgery, gived by 2 staf member for 3 months