Professor/Gharib Fawi mohamed
Professor - Professor of neurology and chairman of the department of neurology and psychological medicine
Faculty of medicine
Address: Sohag .gomhoria street
15
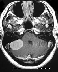
differential diagnosis