| Introduction |
- Overview
- pediatric femoral shaft fractures are one of the most common pediatric orthopedic fractures and are the most common reason for pediatric hospitalization due to orthopedic injury
- treatment may be casting or operative depending on the fracture pattern and age of patient.
- any femur fracture in a child not yet walking should raise concern for non-accidental trauma
- Epidemiology
- incidence
- 1.6-2% of all pediatric fractures
- bimodal distribution
- increased rate in toddlers age 2-4 years and adolescents
- most common reason for pediatric hospitalization due to orthopaedic injury
- demographics
- males more commonly affected 2.6:1
- Pathophysiology
- mechanism of injury
- fall is the most common cause under 10 years
- a motor vehicle accident is the most common cause over 10 years
- correlated with age due to the increased thickness of the cortical shaft during skeletal growth and maturity
- Associated conditions
- high suspicion for child abuse required
- abuse must be considered if the child is < 3 years and especially if present in a patient before walking age
- femur fractures are one of the most common fractures associated with child abuse
- medical conditions and comorbidities
- osteogenesis imperfecta
- osteopenia secondary to neuromuscular disorders
- benign or malignant bone tumors
- Prognosis
- high rate of fracture union if appropriate treatment is selected based on patient age and fracture pattern
|
| Anatomy |
- Osteology
- anterior bow to femur
- isthmus is the narrowest portion of the femur
- Muscles
- iliopsoas creates a flexion and external rotation force on the proximal fragment
- adductors create a shortening and varus force on the distal fragment
- Biomechanics
- femoral shaft cortical diameter and cortical thickness increase with age
|
| Classification |
- Descriptive classification
- characteristics of the fracture
- transverse
- comminuted
- spiral
- Others
- location of the fracture
- proximal, middle, or distal third
- integrity of the soft-tissue envelope
- Stability
- stable fractures
- typically transverse or short oblique
- unstable fractures
- long spiral (fracture length > 2 X bone diameter at that level) or comminuted fractures
|
| Presentation |
- Symptoms
- thigh pain
- inability to walk
- report of deformity or instability
- Physical exam
- gross deformity
- shortening
- swelling of the thigh
|
| Imaging |
- Radiographs
- AP and lateral of the femur
- allow for complete evaluation of the fracture location, configuration, and amount of displacement
- ipsilateral AP and lateral of knee and hip
- to rule out associated injuries
|
| Treatment |
- Nonoperative
- Pavlik harness
- indications
- children up to 6 months
- any fracture pattern
- spica casting
- indications
- children 0 - 5 years
- relatively contraindicated with polytrauma, open fractures and shortening > 2-3 cm
- traction + delayed spica casting
- indications
- younger patients with significant shortening
- rarely utilized
- Operative
- flexible intramedullary nails
- indications
- most length stable fracture patterns in children 5 - 11 years weighing < 49kg (100 lbs)
- submuscular bridge plate fixation
- indications
- unstable fractures in children 5 or older and >49kg (100lbs)

- very proximal or very distal fractures
- severe comminution
- antegrade rigid intramedullary nail fixation
- indications
- in patients >11 years or approaching skeletal maturity
- unstable fractures
- fractures in patients weighing > 49kg (100 lbs)
- external fixation
- indications
- damage control orthopedics in a polytrauma patient
- open fractures
- associated vascular injuries requiring revascularization
- segmental or significantly comminuted fractures
|
| |
|
|
| Surgical Techniques |
- Pavlik harness
- technique
- avoids the need for sedation or anesthesia
- complications
- can compress femoral nerve if excessive hip flexion is used in presence of a swollen thigh
- identified by decreased quadriceps function
- Immediate spica casting
- technique
- applied with reduction under sedation or with general anesthesia
- single-leg spica or one-and-one-half spica (to control rotation)
- distal femoral buckle fracture may be treated with long leg cast alone (not spica)
- hips flexed 60-90° and approximately 30° of abduction
- external rotation is typically needed to correct a rotational deformity
- molded into recurvatum and valgus as the muscular forces will pull fracture into procurvatum and varus
- molds along the distal femoral condyles and buttocks help to maintain reduction
- acceptable limits are based on age
- the goal of reduction should include obtaining < 10° of coronal plane and < 20° of sagittal plane deformity with no more than 2cm of shortening or 10° of rotational malalignment
- a special car seat is sometimes needed for transport (often can use a regular car seat if single-leg spica is used)
- complications
- compartment syndrome
- decreased with applying smooth contours around popliteal fossa, limiting knee flexion to < 90° and avoiding excessive traction
- Decreased by avoiding applying short leg cast first followed by traction on poplitea fossa
- monitored for by observing the child's neurovascular exam and level of comfort
- outcomes
- healing times vary from 4 - 8 weeks based on age
- Traction + delayed spica casting
- technique
- placed in distal femur proximal to distal femoral physis
- proximal tibial traction can cause recurvatum due to damage to the tibial tubercle apophysis
- used for 2-3 weeks to allow early callus formation
- spica casting then applied until fracture healing
- more complications than immediate spica casting
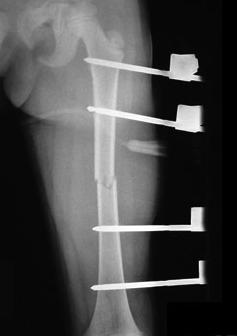
- Flexible intramedullary nails
- approach
- all distal approach
- 2cm incision medially and laterally at level of distal physis
- spread with hemostat to starting point 2cm proximal to physis
- distal and proximal approach
- 2cm incision laterally at level of distal physis and 2cm incision proximally at greater troch apophysis
- instrumentation
- nail size determined by multiplying the width of the isthmus of femoral canal by 0.4
- the goal is 80% canal fill

- complications
- the most common complication is pain at insertion site near the knee
- in up to 40% of patients
- recommended that < 25mm of nail protrusion and minimal bend of the nail outside the femur are present
- increased rate of complications in patients 11 years or up or > 50 kg
- malunion
- increased rates with comminuted, shortened, or very proximal/distal fractures
- outcomes
- generally good outcomes
- time to union is typically 10 - 12 weeks
- removal of the nail can be performed at 1 year
- Submuscular bridge plate fixation
- approach
- laterally based incision and plating with minimal disruption of soft tissue envelope
- small proximal and distal incisions and plate is placed between periosteum and vastus lateralis on the lateral side of the femur
- fracture is provisionally reduced with closed or percutaneous techniques
- instrumentation
- typically use 12-16 hole 4.5mm narrow LC-DC plate with 3 screws proximal and 3 screws distal to the fracture. the plate may need to be bent to accommodate the natural bend of the femur
- Contoured femur plates are also an option
- complications
- hardware removal
- refracture following hardware removal
- outcomes
- favorable time to union, weight bearing, hardware irritation, and limp outcomes
- Antegrade rigid intramedullary nail fixation
- approach
- trochanteric entry nail
- lateral entry nail
- avoid piriformis entry due to risk of injury to vascularity to femoral head
- soft tissue
- lateral incision proximal to the greater trochanter
- sharp or electrocautery through fascia lata to obtain starting point at the tip of the greater trochanter
- closed versus open reduction of the fracture
- instrumentation
- with fracture reduced follow steps to insert intramedullary nail with caution to not cross distal physis
- complications
- osteonecrosis risk is 1-2% with piriformis start in a patient with open proximal physes
- the exact risk of osteonecrosis with greater trochanter and lateral entry nails is unknown
- secondary deformities of the proximal femur can occur after greater trochanteric insertions
- narrowing of the femoral neck
- premature fusion of greater trochanter apophysis
- coxa valga
- hip subluxation
- outcomes
- decreased risk of angular malunion
- favorable outcomes in adolescents
- External fixation
- technique
- applied laterally
- avoid disruption and scarring of quadriceps
10 - 16 weeks of fixation is typically needed for solid union weight-bearing
- weight-bearing as tolerated can be considered with stiff constructs
- complications
- more complications than internal fixation
- pin tract infections are frequent
- as high as 50% of fixator related complications
- treated with oral antibiotics and pin site care
- higher rates of delayed union, nonunion and malunion
- increased risk of refracture (1.5-21%) after removal of fixator especially with varus malunion
|
| Complications |
- Leg-Length Discrepancy
- overgrowth
- the most common complication in younger patients
- 0.7 - 2 cm is common in patients <10 years
- typically occurs within 2 years of injury
- shortening
- is acceptable if less than 2 - 3 cm because of anticipated overgrowth in young patients
- can be symptomatic if greater than 2 - 3 cm
- temporary traction or fixation used to prevent persistent shortening
- Osteonecrosis (ON) of the femoral head
- reported with both piriformis and greater trochanter entry nails

- femoral nailing through the piriformis fossa is contraindicated in adolescents with open physes because of the risk of osteonecrosis of femoral head
- main supply to femoral head is deep branch of the medial femoral circumflex artery

- branches into superior retinacular vessels that supply the femoral head

- vulnerable as it lies near the piriformis fossa

- Nonunion and malunion
- higher risk with load bearing devices
- external fixator or submuscular plates
- can occur after flexible intramedullary nailing in patients
- aged over 11 years old
- who weigh >49 kg (>108 lb)
- the typical deformity is varus + flexion of the distal fragment
- remodeling is greatest in the sagittal plane
- rotational malalignment does not remodel
- nearly 50% of fractures treated with flexible nails have 15 degrees of malalignment
- Refracture
- most common after external fixator removal with varus malalignment
|