Introduction
  • Overview
    • radial neck fractures in children are a relatively common traumatic injury that usually affects the radial neck (metaphysis) in children 9-10 years of age.
      • treatment depends on the degree of angulation and is surgical if angulation remains greater than 30 degrees after closed reduction is attempted.
  • Epidemiology
    • demographics
      • median age is 9-10 years
      • no difference in incidence between sexes
      • 5-10% of all pediatric elbow fractures and 1% of pediatric fractures overall
  • Pathophysiology
    • mechanism
      • usually associated with an extension and valgus loading injury of the elbow 
      • elbow dislocation
  • Associated Conditions
    • elbow dislocation 
    • olecranon fracture 
    • medial epicondyle fracture 
    • forearm compartment syndrome
  • Outcomes
    • worse outcomes seen in patients >10 years of age 
Anatomy
  • There are 6 ossification centers around the elbow joint 
    • age of ossification is variable but occurs in the following order (C-R-I-T-O-E) at an average age of (years)
      • Capitellum (1 yr.)
      • Radius (3 yr.)
      • Internal or medial epicondyle (5 yr.)
      • Trochlea (7 yr.)
      • Olecranon (9 yr.)
      • External or lateral epicondyle (11 yr.)
  • Ossification center of radial head appears between and 3 and 5 years of age
    • may be bipartite
    • radial head fuses with radial shaft  between ages of 16 and 18 years
Classification
 
O'Brien Classification
Type I < 30 degrees   
Type II 30-60 degrees   
Type III > 60 degrees   
 
Judet Classification 
Type I Undisplaced  
Type II < 30 degrees  
Type III 30-60 degrees   
Type IVa 60-80 degrees   
Type IVb More than 80 degrees   
 
Chambers Classification (rarely used)
Group 1: Primary displacement of radial head (most common) Valgus Injury
A: Physeal injury - Salter-Harris I or II
B: Intra-articular -Salter-Harris III or IV
C: metaphyseal fracture

Elbow Dislocation
D: reduction injury
E: dislocation injury
 
Group 2:  Primary displacement of radial neck Monteggia variant
Group 3:  Stress injury Osteochondritis dissecans
 
Presentation
  • Symptoms
    • elbow pain
    • refusal to move
  • Physical exam
    • inspection
      • lateral swelling 
    • motion
      •  pain exacerbated by motion, especially supination and pronation.
    • must have high suspicion for forearm compartment syndrome 
    • pain may be referred to the wrist 
Imaging
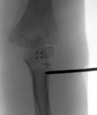
  • Radiographs 
    • recommended views 
      • AP and lateral of the elbow 
      • radiocapitellar (Greenspan) view 
        • oblique lateral performed by placing the arm on the radiographic table with the elbow flexed 90 degrees and the thumb pointing upward
        • The beam is directed 45 degrees proximally
    • findings
      • nondisplaced fractures may be difficult to visualize 
      • look for fat pads signs
        • anterior fat pad may be normal, but a posterior fat pad sign should be treated as an occult fracture
        • a portion of the radial neck is extra-articular and therefore an effusion and fat pads signs may be absent.
Treatment
  • Nonoperative
    • immobilization alone
      • indications
        • <30 degrees of angulation
        • <3mm translation
      • technique
        • immobilize in long arm cast or splint without reduction
      • follow-up
        • 7 days of immobilization followed by early range of motion
    • closed reduction and immobilization
      • indications
        • >30 degrees of angulation
        • closed reduction followed by immobilization in long arm cast or splint if an adequate reduction is achieved
  • Operative 
    • closed percutaneous reduction 
      • indications
        • > 30° of residual angulation following closed reduction 
        • 3-4 mm of translation
        • < 45° of pronation and supination
      • outcomes
        • improved outcomes with younger patients, lesser degrees of angulation, and isolated radial neck fractures
    • open reduction
      • indications
        • fracture that cannot be adequately reduced to <45 degrees angulation with closed or percutaneous methods 
      • outcomes
        • open reduction has been associated with a greater loss of motion, increased rates of osteonecrosis and synostosis compared with closed reduction  (though this is controversial as higher rates of open reduction are also seen with worse fractures)
Techniques
  • Closed reduction
    • reduction techniques
      • Patterson maneuver 
        • hold the elbow in extension and apply distal traction with the forearm supinated and pull the forearm into varus while applying direct pressure over the radial head
      • Israeli (Kaufman) technique 
        • pronate the supinated forearm while the elbow is flexed to 90° and direct pressure stabilizes the radial head
      • Nehar and Torch technique 
        • elbow held in extension and supination with distal traction and varus force with assistant pushing laterally on radial shaft and surgeon pushing medially on radial head
      • elastic bandage technique
        • tight application of an elastic bandage (esmarch) beginning at the wrist continuing over the forearm and elbow may lead to spontaneous reduction
  • Closed Reduction and Percutaneous Pinning
    • reduction technique
      • K-wire joystick technique 
        • push technique 
          • blunt end of a large k-wire is pushed against the posterolateral aspect of the proximal fragment and pushed into place
        • lever technique
          • k-wire is placed into the fracture site and levered proximally
        • if unstable after reduction a pin may be placed to maintain reduction
      • Metaizeau technique  
        • involves retrograde insertion of a pin/nail across the fracture site 
        • fracture is reduced by rotating the pin/nail 
  • Open reduction
    • approach
      • performed with lateral approach (Kocher interval) to radiocapitellar joint
      • pronate to avoid the posterior interosseous nerve (PIN)
    • fixation
      • avoid transcapitellar pins
      • internal fixation only used for fractures that are grossly unstable 
Complications
  • Decreased range of motion
    • loss of pronation more common than supination
  • Radial head overgrowth
    • 20-40% of fractures
    • usually does not affect function
  • Osteonecrosis 
    • 10-20% of fractures
    • radial head in children is entirely cartilage and blood supply is primarily from the metaphysis
    • up to 70% of cases occur with open reduction
  • Nerve injury
    • PIN may be injured
  • Physeal arrest
    • may lead to cubitus valgus deformity
  • Synostosis
    • most serious complication
    • occurs in cases of open reduction with extensive dissection or delayed treatment