Introduction
  • Overview
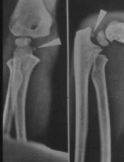
    • a fracture of the medial epicondyle of the elbow that is the third most common fracture seen in children and is usually seen in boys between the age of 9 and 14.
      • treatment is controversial but is usually nonoperative unless the medial epicondyle is incarcerated in the joint.
  • Epidemiology
    • incidence
      • account for up to 20% of all pediatric and adolescent elbow fractures
    • demographics
      • 75% occur in boys between the ages of 9 and 14 years
      • increasing in frequency due to the increased athletic demands in the pediatric population.
  • Pathoanatomy
    • avulsion mechanism 
      • fracture occurs secondary to excess valgus stress with contraction of flexor-supinator mass 
      • medial epicondyle is avulsed anteriorly via tension created by flexor-pronator mass and ulnar collateral ligament (UCL)
    • direct trauma
  • Associated injuries
    • elbow dislocation
      • associated with elbow dislocations in approximately 50-60% of cases q 
      • most spontaneously reduce but fragment remains incarcerated in joint in ~ 15% of cases
  • Prognosis
    • good to excellent results have been reported for both surgical and non-surgical management 
Anatomy
  • Osteology
    • medial epicondyle
      • last ossification center to fuse in distal humerus
      • does not contribute to longitudinal growth (apophysis)
      • origin of flexor-pronator mass and UCL
Ossification center
Years at ossification (appear on xray) (1)
Years at fusion (appear on xray) (1)
Capitellum
1  
12-14*
Radius
3  
14-16
Internal (medial) epicondyle
5  
16-18
Trochlea
7  
12-14*
Olecranon
9  
15-17
External (lateral) epicondyle
11 
12-14*

(1) +/- one year, varies between boys and girl. 
C-R-I-T-O-E to remember age of ossification. 
CTE-R-O-I to remember age of fusion (capitellum, trochlea and external (lateral) epicondyle fuse together at puberty. Together they fuse to the distal humerus between the ages of 14-16 years old)

  • Muscles/ligaments
    • common flexor-pronator wad muscles of medial epicondyle include
      • pronator teres 
      • flexor carpi radialis 
      • palmaris longus 
      • flexor digitorum superficialis 
      • flexor carpi ulnaris 
  • Blood supply
    • anterior 
      • branches of inferior ulnar collateral artery 
    • posterior 
      • branches of the superior and inferior ulnar collateral artery
Classification
  • No routinely used classification system 
  • Can be more simply classified as acute vs. chronic 
    • acute subtypes
      • Nondisplaced
      • Minimally displaced
      • Displaced
      • Fragment entrapped in joint
      • Fracture through epicondyle apophysis 
    • chronic
      • related to tension stress injuries
Presentation
  • Symptoms
    • medial elbow pain
  • Physical exam
    • valgus instability
    • ecchymosis (especially with direct trauma) 
    • ulnar nerve dysfunction- motor and sensory function should be documented in all cases 
    • generalize swelling suggests elbow may have dislocated
Imaging
  • Radiographs
    • displacement is difficult to measure accurately as medial epicondyle is located on the posteromedial aspect of the distal humerus and fragment displaces anteriorly
    • recommended views
      • AP and lateral of elbow
      • internal oblique view to evaluate displacement 
      • distal humeral axial view
        • may also improve accuracy of measuring displacement     
        • obtained by angling beam 25 degrees anterior to long axis of humerus
  • CT
    • most accurate but associated with increased radiation  
Differential 
  • Medial condyle fracture
  • Simple elbow dislocation
Treatment
  • Nonoperative
    • immobilization (1-3 weeks) in a long arm cast with elbow flexed to 90 degrees
      • indications
        • controversial
        • < 5mm displacement
        •  amount of true displacement difficult to determine on plain radiographs
      • outcomes
        • lower rate of osseous union rate compared to surgically treated patients
        • radiographic nonunion (or fibrous union) often asymptomatic
  • Operative
    • open reduction internal fixation
      • indications
        • absolute
          • displaced fx with entrapment of medial epicondyle fragment in joint  q q 
          • extension to the articular surface with medial condyle involvement (articular surface)
          • open fracture
        • relative
          • ulnar nerve dysfunction
          • > 2-15mm displacement, also controversial 
          • >2-5 mm in valgus stress athletes such as throwers or gymnasts 
          • associated elbow dislocation
Techniques
  • Open Reduction Internal Fixation
    • approach
      • medial approach to elbow 
        • typically with patient supine and arm abducted to 90 degrees, a prone position also described
        • incision is made directly over medial epicondyle
        • brachialis/triceps interval
        • ulnar nerve at risk 
    • technique
      • identify and protect ulnar nerve (easiest from proximal to distal) 
      • reduce fracture 
      • screw fixation (often cannulated)  
      • a washer may improve fixation, but more prominant
      • avoid iatrogenic comminution during screw insertion
      • K-wires indicated for smaller fragments or in younger children
Complications
  • Non-union
    • majority are asymptomatic 
    • odds of radiographic union are 9 times greater with surgery
  • Nerve injury
    • ulnar nerve (reported between 10% - 16%)
    • neuropraxia after dislocation will usually resolve with observation
    • radial nerve at risk with bicortical screw fixation
  • Missed incarceration in elbow joint
  • Elbow stiffness
    • the most common complication is the loss of few degrees of elbow extension
    • associated with prolonged immobilization, occurs after nonoperative and operative treatment